
A four-year project to create a mobile radiology clinic to screen Australian miners has culminated in the Heart of Australia truck launched in February 2022. The truck takes the Philips' 128-slice Incisive CT Pro scanner to mining towns for CT lung screening.
The truck is the latest addition to the 10-year old Heart of Australia initiative founded by cardiologist Dr. Rolf Gomes to deliver mobile healthcare to underserved rural and remote communities of Australia. The existing Heart of Australia fleet already delivers ultrasound, cardiology, and audiology clinics into the Queensland outback, but the initiative was lacking radiology, particularly a CT scanner to facilitate regional and remote access to CT screening, noted the Heart of Australia's lead radiologist Dr. Catherine Jones from Brisbane.
Producing a mobile CT unit capable of coping with the tough outback roads and mine site conditions required some innovative thinking, both from Heart of Australia and Philips.
"We needed the truck to be able to go off-road to places with unstable power supply, so it is fitted with solar panels that power the lithium battery which powers the entire mobile clinic," she noted.
The Heart of Australia truck launched in February 2022 takes CT screening to remote mining communities. Photos and Images courtesy of Heart of Australia and Dr. Catherine Jones.Miners are at high risk of diseases associated with mine dust such as pneumoconioses (including coal workers' pneumoconiosis and silicosis), asbestosis, emphysema, lung cancer, and mesothelioma. Traditionally a lot of miners also smoked, augmenting the risk of lung cancer, while spouses and other family members may have been exposed passively to mine dust, Jones noted.
Customized screening
The onboard screening is aimed at current and retired mine and quarry workers and their families who live in regional and remote areas of Queensland with limited access to screening programs. So far, over 500 retired mine workers have been screened and among these, radiologists have identified lung nodules requiring follow-up, suspected lung cancer, as well as emphysema and pneumoconioses. Among younger dust-exposed workers in their twenties and thirties, cases of accelerated silicosis have been identified. These patients undergo a separate screening program accessible via the truck.
"The mobile unit is a great idea, as former miners are not mandated to undergo screening but are more likely to do so if the truck comes to their town. Also, at 26 meters long, the double-chassis truck is a technical wonder which means that people turn up for screening as they want to check it out," noted Jones, who is also professor of radiology at the University of Sydney Faculty of Medicine and Health.
On the HoA truck, radiographers scan patients on the Philips Incisive CT Pro, then a clinician provides a physical examination.The Philips Incisive CT scanner provided for the truck has also been tested for outback conditions, so that the equipment is secure when the truck is bouncing around during the long periods of travel, according to Jones.
AI reconstruction
The high-resolution chest CT scan performed for the lung screening program uses Philips' Precise Image AI image reconstruction application in addition to iterative reconstruction methods. Together, they reduce radiation dose through automatic centering, based on the size and density of the patient for patient-specific radiation dose customization. The dose is adequately low for the screening program whilst still maintaining image quality.
The adoption of Philips' Precise Image dose reduction package, based on artificial intelligence (AI) algorithms, meant that radiation dose was reduced by a further 50%. The average radiation dose is now around 1.5 mSv for a multiphase high-resolution chest CT scan, according to Jones.
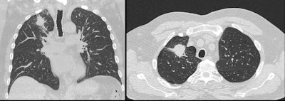
The Heart of Australia team diagnosed this former miner with lung cancer and emphysema using Philips’ Precise Image AI reconstruction app."Philips' software has significantly reduced the dose that was possible just with iterative reconstruction," Jones said. "Obviously we want to minimize the radiation dose given to our patients, but the underlying principle of diagnostic quality imaging is paramount; the worst case scenario is irradiating a patient only to find that the images are not of diagnostic quality."
Philips' CT clinical applications specialist Trish Hubbard helped set up the system and has worked closely with the radiographers on the truck to provide CT application training to ensure the service continues to deliver low-dose, high-quality CT.
"The 128-slice Incisive CT Pro with a 4-cm detector width has a fast rotation speed of 0.35 seconds. It also has Precise Image that allows for high-quality imaging at very low radiation dose, a first of its kind on a mobile service," Hubbard noted. "Precise Image is the industry's fastest AI reconstruction. It uses convolutional neural networks to generate noise-reduction images. Reducing image noise increases low-contrast detectability, allowing for reduced dose and improved image quality."
The onboard staff includes a driver, a radiographer, a respiratory scientist, an occupational health nurse, and a clinician who takes the individual's occupational history and performs a clinical exam before the patient undergoes CT screening. Additionally, Heart of Australia partnered with I-MED Radiology, the largest radiology network in Australia, to provide the imaging technical expertise, governance and radiologist reporting. Images are transmitted to I-MED Radiology RIS and PACS, to be reported by subspecialist chest radiologists remotely.
Dr. Catherine Jones (middle), Heart of Australia Founder Dr. Rolf Gomes (left of Dr. Jones), Matt Moran Managing Director Philips Australia and New Zealand (right of Dr. Jones), and the greater Philips Australia team at the launch of the Heart of Australia CT truck in February 2022.According to Jones, the trio of partners -- Philips, Heart of Australia, and I-MED Radiology -- have been likened to the Three Musketeers, whose D'Artagnan comes in the form of a program for postgraduate health sciences students with an interest in outback medicine who can volunteer to help out on the truck.
Extending fleets?
Any companies involved in hard rock construction, tunneling, quarrying, road construction, and mining can apply for the truck to visit their site if it is geographically close to its circuit. The availability of the truck, built by Australian engineering and manufacturing company Varley Group, means no downtime for the requesting company, a reduction in the timing of the process, lower patient anxiety due to screening being able to take place near home, and fast diagnoses.
She noted that feedback from retired workers indicated that they wanted to contribute to the well-being of younger workers who were undergoing the same risks of dust exposure that they had.
"All screening results are recorded in a registry so that disease prevalence in this cohort which to date has lacked surveillance, can be presented at conferences and to the government. The evidence that the 'old timers' generate through the screening process helps to protect the next generation," she said.
However, one truck is not enough, noted Jones.
"We know that there are other people who are eligible for screening but who haven't come forward. If we are moving towards lung cancer screening, then we are looking at the need for more dedicated trucks over the next one to two years. Pilot studies have already proved the benefits of lung cancer screening and these recommend mobile screening trucks," she noted.
Philips outreach
"The tyranny of distance is a large issue in Australia for patients in remote communities or work environments to access care," said Ari Wood, global business development leader for Philips CT/AMI. "Even though care is affordable, it may not be affordable or practical for patients to travel to get the care they need. People often wait longer than advisable to access it. In bringing advanced care solutions to patients, you remove the barrier of distance and can drastically improve health outcomes by detecting disease earlier."
He pointed to other Philips-supported projects aiming to improve access to healthcare, including military deployable CT, austere conditions CT, and hospital ships' CT. Wood also noted that Philips CT is focusing on developing, deploying, and sustaining or maintaining solutions that give insights that change patient care.
"Innovation is not just in building a new exciting CT capability. It doesn't matter how impactful that capability is if it is not reliable or if it takes a team of experts to use it. Our innovations are focused on ensuring not only new insights and capabilities to address more complex clinical needs but also ensuring that our solutions can be used by novice and experienced users alike while achieving the same results," Wood noted. "We want to ensure they experience the same, day in day out, with technology or system delivering sustainable levels of care."



















