
Radiologists like to say they're responsible for everything on the film, or more likely these days, everything in the dataset. The claim may be a bit optimistic, but it is an important reminder that incidental findings can save lives. In virtual colonoscopy, the evidence suggests that follow-up not only provides valuable diagnostic information, but that it does so cost-effectively.
"Extracolonic findings are a significant benefit of virtual colonoscopy," said Dr. Greg Galdino, a radiologist with the VA Medical Center and the University of California, San Francisco. Galdino spoke in April at the International Symposium of Virtual Colonoscopy in Boston, where he presented a study of 362 male patients who had undergone the procedure.
The study by Dr. Judy Yee, Galdino, and Drs. Naveen and Prasanna Kumar, sought to determine the prevalence of extracolonic findings following virtual colonoscopy in an older male population characteristic of the VA Medical Center.
In a study that took a second look at the results of a larger virtual colonoscopy trial at the institution, a single radiologist reviewed virtual colonoscopy images and clinical data for extracolonic findings. Appropriate follow-up was performed and the costs of follow-up calculated using 2001 Medicare reimbursement rates. The mean follow-up time was 23 months.
"The mean age of the patients in our study was 65 years, with a range of 41 to 88 years," Galdino said. "Forty percent of the patients were asymptomatic and presented for routine colon screening. Sixty percent were symptomatic or high risk, and had a history of hematochezia, iron deficiency, anemia, or prior history of colonic polyp or colon cancer."
Patients underwent virtual colonoscopy following standard bowel prep with magnesium citrate and polyethylene glycol agents. Following room-air insufflation the next day, virtual colonoscopy was performed in both supine and prone positions using a single-detector CT scanner.
According to the results, 63% of the patients (228/362) had a total of 405 incidental extracolonic findings. A clinically significant extracolonic finding was defined as any abnormality requiring further diagnostic evaluation or work-up. Not all findings were evaluated further; in fact most were not. Of the 228 patients with incidental findings, only 13% (30/228) of those patients had findings that were considered clinically significant.
Clinically significant findings included 6 pulmonary masses or nodules, 5 abdominal aortic aneurysms (AAA), 5 adrenal masses, and 5 iliac aneurysms (3 of which were in patients with AAA), and one retroperitoneal mass. The most common clinically insignificant abnormalities were hepatic cysts, renal cysts, and cholelithiasis, Galdino said.
![]() |
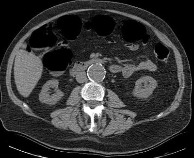
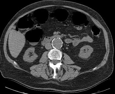
| Sixty-eight-year-old man with history of colonic polyps presented for fiberoptic colonoscopy and concurrent virtual colonoscopy. He was found to have a 4-cm abdominal aortic aneurysm as a new incidental finding, and subsequently underwent aortofemoral bypass grafting. |
"One percent of patients had extracolonic findings that were missed on (virtual colonoscopy)," Galdino said. "Two of these findings were clinically significant. One of them was a retrocural small cell lung cancer in one patient and the other was a three cm liver metastasis in another patient. The two other (missed) findings were clinically insignificant."
![]() |
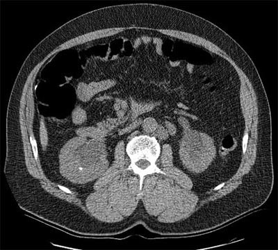
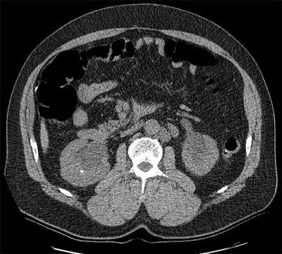
| Seventy-year-old man with a history of metastatic cancer. Patient presented for fiberoptic colonoscopy and concurrent virtual colonoscopy to evaluate for colon cancer, and determine the primary location of metastatic disease. Virtual colonoscopy revealed bilateral hydronephrosis with renal calculi. He was subsequently diagnosed with primary bladder adenocarcinoma. Images courtesy of Dr. Greg Galdino. |
Half of the patients with clinically significant findings had their treatment altered with surgical intervention or additional imaging. The cost of follow-up diagnostic imaging was $11,033, or an average added cost of $30 per VC exam.
Of the 33 clinically significant findings, 64% were new and 36% were diagnosed previously. Forty-seven percent (14/30) of patients with clinically significant findings were found to have a benign lesion upon further evaluation, while in 27% (8/30) the findings were confirmed as clinically significant, Galdino said.
In a previous study of 264 patients, Hara et al reported extracolonic findings in 57% of patients, 11% of which were clinically significant. In comparison, the UCSF group reported extracolonic findings in 63% of patients, 8.3% of which were clinically significant, Galdino said (Radiology, May 2000, Vol. 215:2, 353-357).
"CT colonography provides general abdominal pelvic screening as an added benefit with little additional cost," he concluded. Compared with the Hara study, "there does not appear to be a higher incidence of clinically significant findings in a male population (of veterans), which was an unexpected result. And there appears to be similar incidence of clinically significant findings in asymptomatic vs. symptomatic or high-risk groups."
Additional studies with larger patient populations are needed to support or contradict these results, Galdino said.
By Eric BarnesAuntMinnie.com staff writer
June 3, 2002
Copyright © 2002 AuntMinnie.com




















