
In the second and final installment of our series on CT angiography practice-building, radiologist Dr. David Dowe of Atlantic Medical Imaging in New Jersey discusses the nuts and bolts of performing CT angiography (CTA) in the community setting.
It wasn't long ago that Dr. David Dowe couldn't give his CTA exam away. In December 2001, his New Jersey-based multimodality imaging practice had a brand-new eight-detector CT scanner kicking around. Dowe was making the rounds of local cardiology practices, impressing the doctors with his nice crisp CTA images. And he was offering free scans to the first batch of patients any cardiologist might want to refer. There were no takers.
There were lessons to be learned from the experience, however, and today the group's Galloway Township imaging center is thriving. A 64-slice LightSpeed VCT scanner (GE Healthcare, Chalfont St. Giles, U.K.) sits at the ready, patients are signing up for CTA scans in droves, and the word on the street is that everyone, rich and poor alike, can get scanned there.
How did Atlantic Medical Imaging build a successful CTA practice? It's easy to do and it can work for you, Dowe said in a talk last month at the International Symposium on Multidetector-Row CT, sponsored by Stanford University in California. Where you go to drum up patients is the key to success, he said.
Whom to ask
"Let me tell you right off the bat what mistake most radiologists are making," Dowe said. "You're barking up the wrong tree."
So it turned out cardiologists weren't the best CTA referral source. Undaunted, Dowe started showing his nice heart images to general practitioners, internists, and nurse practitioners in the area. He talked to them about coronary CTA (CCTA) and gave away the first 500 scans for free. And the patients started coming -- today 80% of his business from those three sources alone, he said.
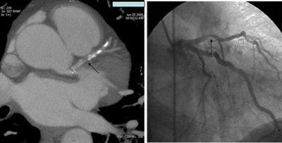
![]() |
| Coronary artery bypass grafts visualized on 64-slice CTA scan. All images courtesy of Dr. David Dowe. |
"The cardiologists, they're going to know you're doing CTA, they will find out," he said. "But I'm not about to invest a lot of time in business I may never get or may only transiently get."
Dowe said he's heard the cardiologists' complaints, too. Like what's with the New Jersey radiologist doing CTA exams and administering cardiac meds? Radiologists don't know the blood vessels and their variations, cardiologists complained. They don't know how to image atherosclerosis, and they don't control the patients they scan.
![]() |
| A 59-year-old woman presenting with chest pain had a normal CTA, as shown below right with visualization of the atrioventricular nodal branch. |
Such misgivings are true, to a point, Dowe said. "Radiologists must learn the clinical significance of where lesions are and what they mean," he said. "And of course, you don't control the patients, which I don't." Still, he said, radiologists have built themselves a pretty good track record imaging other parts of the body. And they know a thing or two that cardiologists struggle with.
"This is what I said (to cardiologists) in return," Dowe said. "You can't read the whole study and deal with ancillary findings. You don't understand key imaging artifacts like beam-hardening artifact or partial-volume averaging as they relate to coronary CTA. You don't have the workstation skills or the time to acquire them."
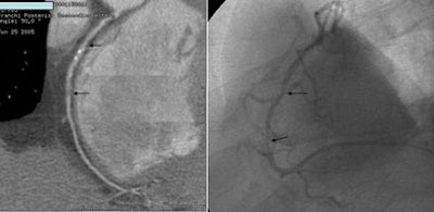
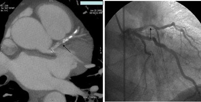
![]() |
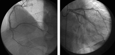
| A 59-year-old man presented with classic chest pain symptoms to the ER five days earlier. He was asymptomatic upon presentation to the practice, but opted for an office-based CTA rather than wait three weeks to see a cardiologist. Images top to bottom: Right coronary artery stenosis (arrows) shown on 64-slice CTA at left, cardiac catheterization at right. Next, a normal left circumflex artery (arrows) is depicted on 64-slice CTA at left, cardiac catheterization at right. Next two image sets: Left anterior descending artery stenosis (arrows) is seen on 64-slice CTA at left, cardiac catheterization at right. Bottom image shows excellent outcome on cardiac cath following stenting. |
![]() |
![]() |
![]() |
![]() |
In any case, he said, cardiologists don't control most of the pool of potential CTA patients -- only the ones they've been caring for year after year.
"Tomorrow's patient wants the best test for them in the best of hands on the best equipment," Dowe said. "And they couldn't care less if you're a cardiologist, radiologist, or gynecologist."
With that question settled, the radiologist's time is put to better use deciding whether to form a joint venture or go solo. As for insurance companies, they're just "dumb," Dowe said, unable most of the time to see beyond their quarterly balance sheets.
One insurance company accused him of billing fraud -- of doing a calcium score and billing for a chest CT exam, Dowe said. So he said he sat down with the medical directors, explained the CTA exam in detail, and made them an offer they could refuse.
"I said how about if we limit coronary CTA to only patients that have been requested to have a coronary catheterization," he said. "I said, 'You know that 40% to 50% of diagnostic caths are negative, and (CTA) has got a 99+% negative predictive value. I'll save you 50% of the caths.' And they refused. I think you're dealing with people whose perspective is three months -- 'How did we do financially last quarter?' They don't think about down the road, or what's in the best interest of the patients, or what's going to cost them less 15 years from now."
In any case, billing aggressively for CCTA is the wrong move, he said. It will only put you on the OIG's (Office of the Inspector General's) radar screen, Dowe said of the U.S. Department of Health and Human Services agency that serves as a watchdog for billing fraud. Atlantic bills insurance for CTA only when it is appropriate under Medicare, Dowe said.
Reimbursement
The practice currently bills CPT code 71275, the same code used for PE or an aortic dissection study, because New Jersey Medicare reimburses $675 for a CTA under the code, Dowe said. Meanwhile, as of 2005 the Reston, VA-based American College of Radiology is recommending that unlisted code 76497 be used to describe CCTA. Finally, the American Medical Association recently approved four new provisional codes -- 0146T, 0147T, 1048T, and 1049T -- for CTA. To the extent that the use of these codes could preclude payment under 71275, however, Dowe said he will not use them.
Potential ICD-9 codes include:
- 786.50 Chest pain, unspecified
- 786.51 Precordial pain
- 786.52 Painful respiration
- 786.59 Chest discomfort/tightness
- 786.70 Abnormal chest sounds
There is, of course, no ICD-9 code for the workup of an asymptomatic patient with risk factors, Dowe noted.
Other referral sources
Large employers with employee wellness programs, executive screening programs, and the like can be another referral source, though such companies are few and far between, Dowe said. Still, one employer that had screened 2,000 employees recently ordered CTAs on 183 of them, he said.
"Talk to everyone," Dowe advised. "Talk to patients and physician groups and patient groups and help groups and whoever you want to talk to -- the Kiwanas and the Lions club. Go to the offices. Give them a lunch and lecture. And give everybody images."
Advertise if it's legal in your country, find creative ways to interact with your referrers, and never forget the individual patient, he said. Face time with the patients is an investment; taking the time to review the images with them is crucial.
Scan the poor
The practice also does well by doing good. Many of the practice's non-Medicare patients cannot afford the $1,200 cost of a self-paid CTA exam, Dowe said, so the group set up the Atlantic Medical Imaging Foundation to provide free or reduced-cost exams on a sliding scale based on family income (up to $70,000) and number of dependents (unlimited). A lot of people have qualified for the grants, he said.
"It was not acceptable to us that coronary CTA be limited to only rich people's hearts," Dowe said. "And it worked out great, because for every one exam we did ... those people must have told 10 other people that we made this available. And it's been a great public relations thing for our practice."
A natural for radiologists
"Coronary CTA will sell itself with time," Dowe said. "You're going to be criticized. Don't be afraid; just make sure you're barking up the right tree. Patients need this exam. Patients want this exam. You're doing a good thing for everybody, so just keep doing it."
Every CTA patient is someone who would not otherwise be in your imaging practice, he said; they're not going to get CTA instead of another test you offer. And while you're getting started and giving away free exams you can let your other, noncardiac volume pay for your $1.7 million scanner, he said. The important thing is to get started with CTA.
"And remember this: Primary care docs love that you offer coronary CTA because you can't steal the patient," Dowe said. "They want you to develop this. I see this as a turf war that the radiologist is primed to win."
By Eric Barnes
AuntMinnie.com staff writer
July 26, 2005
Related Reading
Part I: Simple steps ease cardiac CTA workflow in private practice, July 8, 2005
CT nips at MRI's heels in LV function study, June 29, 2005
Multislice CT reveals previous plaque rupture in coronaries, June 14, 2005
CTA seen as accurate complement to invasive angiography, May 24, 2005
Noncoronary findings often identified on CT coronary angiography, May 18, 2005
MDCT maybe equivalent to MRI, tops echo and SPECT for heart function, February 15, 2005
Copyright © 2005 AuntMinnie.com



























