
Barium does a good job of tagging fluid and residual fecal material for virtual colonoscopy, although tweaking the dose and timing don't do much to reduce the small amount of stool that remains untagged, researchers from Belgium reported in a recent study. But adding a small extra dose of barium on the day of the VC exam can improve fluid tagging.
The study was part of the group's ongoing efforts to optimize barium fecal tagging in a reduced-prep exam, said Dr. Philippe Lefere from Stedelijk Ziekenhuis in Roeselare, Belgium. "We had an older patient population and had concerns about the use of iodinated tagging agents," he said during a presentation at the 2005 RSNA meeting in Chicago.
The researchers examined three groups consisting of 35 patients each. The day before virtual colonoscopy all patients consumed a dedicated low-residue diet (NutraPrep, E-Z-EM, Lake Success, NY) for breakfast, lunch, and dinner. Cathartic cleansing was begun at 7 p.m. the day before the exam with the ingestion of 18.5 grams of magnesium citrate and four 5-mg tablets of bisacodyl.
As a tagging agent, groups 1 and 2 ingested four 20-mL doses of a 40% barium suspension (Tagitol, E-Z-EM), with group 1 taking all four doses before cathartic cleansing and group 2 taking the last dose immediately after cathartic cleansing. Group 3 followed the same regimen as group 2, except for an extra 25 mL of a less concentrated 4% barium suspension administered the day of the exam -- two hours before virtual colonoscopy.
The total barium dose was 32 grams in groups 1 and 2, and 33 grams in group 3. After VC, a cathartic cleansing regimen combined with optical colonoscopy was performed in each patient as a reference standard.
The CT datasets were examined on a dedicated workstation, using a primary 2D read with 3D problem solving for lesion detection. Experienced radiologists evaluated the efficacy of fecal and fluid tagging, the number of segments with residual fluid and fecal matter, and the amount of each that remained untagged. Fluid was evaluated according to its proportion to the maximum anteroposterior diameter on the axial slices of the segment where it was detected (0, < 25%, 25%-50%, > 50%). Tagging efficacy was evaluated visually, Lefere said.
Residual fluid was found in close to half of the segments in all groups. Nontagged fluid covered more than half of the colonic lumen on the axial slices in 0.7%, 1.3%, and 1.3% of segments in groups 1-3, respectively, Lefere said.
|
The meager differences between groups 1 and 2 (the latter group having ingested its last barium dose after cathartic cleansing) showed that this change didn't improve the overall results. Group 2 had somewhat more residual stool and no residual stool," Lefere said.
![]() |
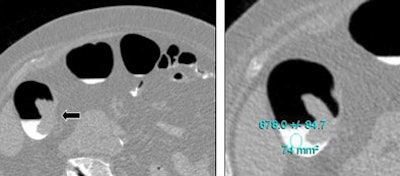
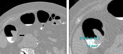
| Above, tagged fluid surrounds a malignant tumor (arrow). The tagged fluid has a density of 678 HU. Images courtesy of Dr. Philippe Lefere. |
The biggest difference was seen in group 3, which received a final dose of 25 mL of 4% barium solution on the morning of the exam. Most parameters were similar to those in Group 1, except that just 3.3% of segments had untagged fluid, representing a major improvement in fluid tagging.
VC detected all 34 lesions found on optical colonoscopy, including 27 adenomas, two lipomas, three carcinomas, and a few hyperplasic lesions, Lefere said. There were 13 adenomas 6 mm or larger, and 11 adenomas 1 mm or larger.
Fluid tagging was very good in group 3 using a combination of four 20-mL doses of a 40% barium suspension the day before VC with one 25-mL dose of a 4% barium suspension the day of VC.
"Sixty-four patients drank water after 9:00 p.m., but we did not find any correlation with the amount of nontagged fluid in these patients," Lefere said. "All datasets were quite easy to read with an (overall) score of 3.4."
"We obtained good fluid tagging with a morning dose of 35 mL of 40% barium suspension," along with 25 mL of a 4% barium suspension the day of VC, Lefere concluded. "We could not improve stool tagging," he said.
By Eric Barnes
AuntMinnie.com staff writer
January 23, 2006
Related Reading
High-dose senna effective for elective colonoscopy bowel preparation, January 9, 2006
Best preps are tailored to VC reading method, November 11, 2005
Walking exercise improves bowel prep for colonoscopy, September 27, 2005
Reduced prep, low-residue diet, and mild tagging suffice for accurate VC, July 31, 2005
Iodine tagging regimen yields best VC results, January 27, 2005
Copyright © 2006 AuntMinnie.com





















