
Even in expert hands, optical colonoscopy fails to reach the cecum in at least 10% to 15% of patients, with a progressively greater failure rate among elderly and frail patients. A new study from Italy suggests that virtual colonoscopy with fluid and fecal tagging may be an ideal replacement. In patients with failed conventional colonoscopy, VC identified several cancers and earned high marks for patient comfort.
For the elderly and infirm, "the reasons for incomplete colonoscopy are redundant colon, stenosing lesions, diverticular disease, and frail patients, and the number (of incomplete exams) tends to grow in parallel with age," said lead investigator Dr. Francisco Iafrate from the University of Rome "La Sapienza."
The study, presented earlier this month at the European Congress of Radiology (ECR) in Vienna, sought to evaluate the value of CT colonography (CTC or virtual colonoscopy) in elderly patients and frail patients in whom conventional colonoscopy could not be completed.
The group performed virtual colonoscopy on 68 patients (32 men and 36 women; mean age 81, range 70-92) whose colonoscopy exams had been incomplete, including four frail patients (ages 61-90).
"All patients underwent conventional colonoscopy prior to (VC)," Iafrate said. "The stop point was primarily in the sigmoid colon in 64% of cases, and conventional colonoscopy had failed to assess 246 of 408 potentially visible colonic segments," he said.
A laxative-free prep protocol required patients to avoid high-fiber foods for two days before VC. They also ingested Gastrografin (Schering, Berlin) and diatrizoate meglumine (180 mL within two days prior to VC) mixed with water during lunch or dinner. Twenty-eight symptomatic patients also received iodinated IV contrast. No antiperistaltic drugs were used.
All patients were imaged on one of two scanners: an eight-detector Volume Zoom scanner (Siemens Medical Solutions, Malvern, PA) at 100 mAs, 2.5- or 3-mm collimation, and 1-mm reconstruction interval; or on a 64-slice LightSpeed VCT scanner (GE Healthcare, Chalfont St. Giles, U.K.) using 100 mAs, 1.25-mm collimation, and a 1-mm reconstruction interval.
Several workstations were used for interpretation, including Vitrea 2 (Vital Images, Minnetonka, MN), Advantage Windows 4.2 (GE Healthcare, Chalfont St. Giles, U.K.), and V3D Colon (Viatronix, Stony Brook, NY).
VC was successful in 66 of the 68 (97%) patients with incomplete colonoscopy, identifying additional lesions in the proximal colon in 19% of patients, including three primary carcinomas, 12 polyps in eight patients, and two lipomas, Iafrate said.
![]() |
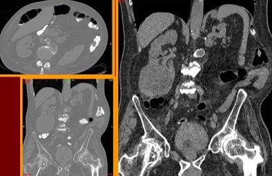
| In an 85-year-old man suffering from severe abdominal pain and anemia, the colonoscope was stopped at the sigmoid colon due to severe diverticular disease. But VC showed no polyps or masses. All images courtesy of Dr. Franco Iafrate. |
![]() |
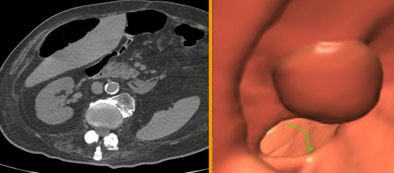
| An 81-year-old woman presented with a positive fecal occult blood test and bleeding. A large (5-cm) adenocarcinoma was found in the right side of the colon. Endoluminal view. |
The main causes of incomplete conventional colonoscopy were redundant colon (57%), diverticular disease (40%), and occlusive mass (3%). A large peritoneal liposarcoma was found in one patient whose optical colonoscopy exam had been incomplete.
![]() |
| Above and below: Despite suboptimal distension, VC detected two significant polypoid lesions in the sigmoid colon of a 61-year-old paraplegic with fecal occult blood, following unsuccessful colonoscopy. The patient's parents had both died of colon cancer. Digital subtraction was used to detect the fluid-submerged polyps. |
![]() |
![]() |
| In a 72-year-old screening patient with severe diverticular disease, the colonoscope had stopped at the sigmoid colon. VC results showed the colon to be free of disease, but detected a very large extracolonic mass, diagnosed as a peritoneal liposarcoma. |
The mean duration of the VC exam was nine minutes, and the mean reading time was 11 minutes. Patient acceptance as rated good, as well as patient compliance and patient preparation, Iafrate said.
"A questionnaire was administered to determine the subjective experience of the patients," who reported no major discomfort or other problems, he said. All patients completed the prep and exam.
VC is both feasible and effective for evaluating colorectal segments not visualized during colonoscopy, and has an important role in elderly and frail patients for whom conventional colonoscopy is often difficult or impossible to perform, Iafrate concluded.
The bowel preparation, emphasizing a low-residue diet combined with fluid and fecal tagging, provided good cleansing, better patient compliance, and an easier prep for these elderly patients, he said. Fluid and fecal tagging improved specificity, as well as sensitivity for smaller lesions.
By Eric Barnes
AuntMinnie.com staff writer
March 28, 2006
Related Reading
Two new VC trials under way in Europe, November 22, 2006
Best preps are tailored to VC reading method, November 16, 2005
Iodine tagging regimen yields best VC results, January 27, 2005
Screening colonoscopy worthwhile into the eighth and ninth decades, September 1, 2003
Copyright © 2006 AuntMinnie.com

























