
New data from the Early Lung Cancer Action Project (ELCAP) reveal significant differences between men and women in rates of lung cancer prevalence and survival, according to a study published today in the Journal of the American Medical Association.
Women are more susceptible to tobacco carcinogens than men and have higher rates of developing lung cancer, but women also have a better chance of surviving lung cancer than men do, according to the latest ELCAP results.
ELCAP researcher Dr. Claudia I. Henschke, chief of the division of chest imaging at New York Hospital-Cornell Medical Center in New York City, began the CT lung cancer research in 1993 with an initial sample of 1,202 woman and 1,288 men in the initial ELCAP. "Early on, I noticed that women seemed to be more susceptible to lung cancer, but that was only in New York City," she said. "I was able to expand that to the U.S. and look at the trends there."
The updated ELCAP includes 6,296 women and 8,139 men undergoing CT screening for lung cancer in North America from 1999 to 2005. None of the people in the study displayed any history of lung cancer, but they did have a history of cigarette smoking and were at least 40 years of age.
In addition, the report noted that the protocol specified the diagnostic workup following a positive result from the initial low-dose CT scan with the identification of noncalcified nodules. Henschke wrote that the workup "remained essentially unchanged in its indications for biopsy," as CT demonstrated growth of noncalcified nodules and the potential need for biopsy.
In this latest round of screenings, helical low-dose CT helped to diagnose lung cancer in 111 of the 6,296 women and 93 of the 8,139 men. When diagnosed with lung cancer, the research found that the men and women were almost the same age (68 years for the men, 67 years for the women), but women smoked less. The women smoked 47 pack years, compared with 64 pack years for the men.
![]() |
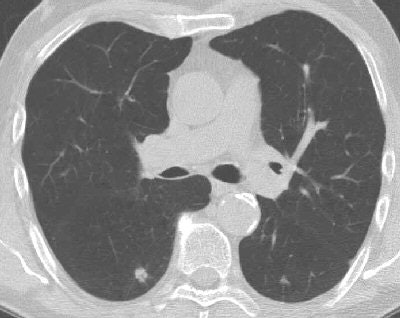
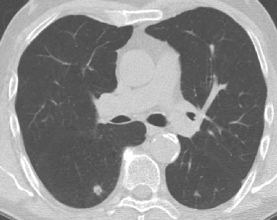
| CT image from ELCAP study shows right lower-lobe lung cancer. Image courtesy of Dr. Claudia Henschke. |
Upon diagnosis of lung cancer, women survived the disease better than men, with the difference even more significant when the cancer was diagnosed at an earlier stage.
As for the reasons for the gender discrepancies, Henschke said that "women don't repair (as well as men), when they have DNA damage. That may be an explanation for the greater susceptibility. The greater survival I don't have an answer for, except that it is known and it is true."
Why CT scans?
Henschke cited several benefits of using helical low-dose CT rather than conventional chest x-ray technology, including the low cost of the CT screening. "We have gotten it down to $300 or less," she said. "We also use less dose, so it is like a mammogram in terms of radiation exposure. It has fantastic resolution -- better than PET and better than MRI -- and it can be done in a single breath-hold. In less than 20 seconds, we can acquire all the images."
The initial study in 1993 utilized single-slice CT, while more recent exams used multislice CT, from four- to 64-detector-row technology.
The American Cancer Society estimates that in the U.S. approximately 73,020 women and some 90,470 men will die from lung cancer this year. In addition, lung cancer currently accounts for more deaths in women than breast and colon cancer combined. Henschke advocated more education about the dangers of lung cancer, especially for young women.
"I think young women need to understand that more women are dying now of lung cancer than any other cancers, and that is not really widely understood," Henschke said. "If you ask a woman, they will say it is breast cancer, but that is not the case. That education needs to get out there."
Gender differences
The finding that women may be more susceptible to tobacco carcinogens is "biologically plausible," the study noted.
The report discounted any notion that malignancy diagnosis was "more vigorous with female screenings" than it was for men, adding that recommendations for follow-up care and treatment "were followed equally."
The study also uncovered no evidence that women were more likely than men to seek out CT lung cancer screening if they suspected symptoms, nor did the research find any indication that the higher prevalence of detected cancer in women resulted from less aggressive treatment of cancer compared to men.
Henschke recommended more study into the gender differences. "More research is needed into why," she said. "The biological sciences need to take a lead, and we need to continue to take a look at the benefit of CT screening, and by how much does it reduce or prevent deaths from lung cancer. That must be our primary focus."
By Wayne Forrest
AuntMinnie.com staff writer
July 11, 2006
Related Reading
High rate of unexpected lung cancers found on routine CT scans, May 24, 2006
Part II: Automated CT lung nodule assessment advances, May 16, 2006
Part I: Automated CT lung nodule assessment advances, April 17, 2006
Low lung cancer detection rate seen in Dutch/Belgian study, March 3, 2006
CT screening identifies curable lung cancers, February 14, 2006
Copyright © 2006 AuntMinnie.com





















