
In a study with important implications for colon cancer screening, Pennsylvania researchers found that both female gender and prior hysterectomy were associated with failed colonoscopy. Dr. Hanna Zafar discussed the results at last week's International Symposium on Virtual Colonoscopy in Boston.
Optical colonoscopy has traditionally been the modality of choice for colorectal cancer screening. But the invasiveness and occasional pain associated with the procedure, as well as the emergence of virtual colonoscopy (VC or CT colonography) as a screening alternative, have led some individuals to consider the less-invasive exam.
Women contemplating optical colonoscopy may have even more reason to opt out of conventional colonoscopy, according to Zafar and her colleagues from the University of Pennsylvania in Philadelphia. Zafar said several studies indicate a higher rate of failed colonoscopy among women undergoing the procedure for screening, but the reasons have been unclear.
"In 2006, Chukan [et al] published a review [Gastrointestinal Endoscopy Clinics of North America, January 2006, Vol. 16:1, pp. 153-163] of why it is technically more difficult to perform colonoscopy in women compared to men. She cited anatomic differences such as colon length and body mass index, and she also discussed hysterectomy," Zafar said. "She found longer insertion times, lower completion rates, and increased discomfort among women who had undergone hysterectomy."
Unpleasant though colonoscopy may be for some individuals, another study suggests that women need the benefits of full-colon screening even more than men, Zafar said. In 2005, Schoenfeld and colleagues compared the diagnostic ability of flexible sigmoidoscopy, a screening method that is limited to the distal half of the colon, to complete optical colonoscopy for the detection of advanced adenomatous polyps. Only 35.2% of women with advanced neoplasia had lesions identified with flexible sigmoidoscopy alone, versus 66.3% of matched men (p < 0.001), the group reported. If only flexible sigmoidoscopy had been performed in these women, most of the advanced precancerous lesions would have been missed due to their proximal location (New England Journal of Medicine, May 19, 2005, Vol. 352:20, pp. 2061-2068).
In 2007, Anderson et al found that even with the use of thinner pediatric colonoscopes, women had longer cecal intubation times and lower colonoscopy completion rates than men, especially thinner women (Gastrointestinal Endoscopy, June 2007, Vol. 65:7, pp. 1042-1047). Also last year, Hanson and colleagues found significant differences between complete and incomplete optical colonoscopy groups based on age and gender, history of prior abdominal surgery, and total colon length. The results may have implications for patients with incomplete colonoscopy who are referred for CT colonography (CTC), they concluded (American Journal of Roentgenology, October 2007, Vol. 189:4, pp. 774-779).
Finally, the Harvard Women's Health Watch reported last week that bowel preparation for colonoscopy is harder for women than men, a finding that could potentially complicate VC as well.
"The purpose of our study was to evaluate gender and prior hysterectomy as contributing factors for failed or incomplete colonoscopy in patients," Zafar said.
Over two years, principal investigator Dr. Anna Lev-Toaff and Zafar from the University of Pennsylvania, along with Dr. Diane Bergin and Andrea Frangos from Thomas Jefferson University in Philadelphia, used VC to examine 173 patients with failed or incomplete colonoscopy (60 men, mean age 67 years; 113 women, mean age 62.5 years). The researchers reviewed all cases for age, indications for CTC, and history of hysterectomy, and compared hysterectomy rates to published statistics on prevalence in the U.S.
All patients were given a colon cleansing preparation comprised of a clear liquid diet for 24 hours and either a Fleet No. 1 prep (Fleet Laboratories, Lynchburg, VA) or HalfLytely (Braintree Laboratories, Braintree, MA) polyethylene glycol solution. Fecal tagging was provided with a 40% barium sulfate solution (Tagitol, Bracco Diagnostics, Princeton, NJ).
The researchers acquired prone and supine scans on either a 16- or 40-detector-row CT scanner (100-200 mAs, 120 kV, 1-2-mm collimation x 0.5-mm spacing). They used automated CO² insufflation (ProtoCO²l, Bracco Diagnostics) in all cases. "Occasionally there was a need for manual insufflation when the patient had a stricture or an abdominal wall hernia," she said.
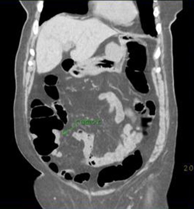
![]() |
| CTC in a 78-year-old woman with incomplete colonoscopy demonstrates cecal carcinoma. All images courtesy of Dr. Hanna Zafar and Dr. Anna Lev-Toaff. |
"When we looked at the overall indication for why CTC was being performed, we found that the vast majority [131 of 173, 75%] of our patients were referred for failed or incomplete colonoscopy," Zafar said. Of the remaining 25%, 18 of 173 (10.4%) were on anticoagulant medications, eight of 173 (4.6%) had increased sedation risk, and 16/173 (9.2%) were referred for other indications.
"We found that the indication of failed or incomplete colonoscopy was found in 62% of men, but in 83% of women, so the proportion of women who were referred for failed or incomplete colonoscopy was significantly [p < 0.01, Fisher's exact test] more than that of the men," she said. "And when we looked more closely at these 94 women who were referred for failed or incomplete colonoscopy, we found that 55% had undergone hysterectomy. This compares to an overall U.S. rate of hysterectomy of 33% by the age of 66, according to the Centers for Disease Control" in Atlanta.
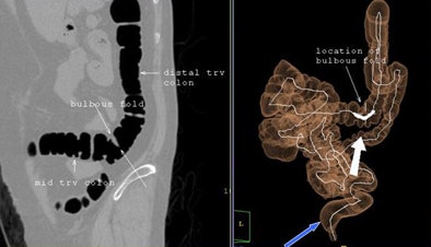
![]() |
| A woman with prior hysterectomy and incomplete colonoscopy demonstrates tortuous colon anatomy, including a bulbous fold, and a redundant sigmoid colon that has prolapsed into the pelvic inlet, preventing the endoscopist from advancing the colonoscope. |
"What is the cause of this increased rate of incomplete or failed colonoscopy in women following hysterectomy? Is it due to sigmoid angulation, is it tethering and adhesions and redundant colon? We're not really sure," Zafar said. "These are issues for further study."
For example, the group has not yet compared colonic anatomy in patients with hysterectomy versus no hysterectomy, Zafar said in response to a question from the audience. "Some of these women have incredibly tortuous colons, not just the sigmoid colon," she said. "We need to go back and look."
The results do show that women comprise a larger percent of patients referred for CTC compared to men, and that female gender and history of hysterectomy are both contributing factors for failed or incomplete optical colonoscopy.
"Our data suggest that CTC has a particularly important role in women with prior hysterectomy," Zafar concluded.
By Eric Barnes
AuntMinnie.com staff writer
November 7, 2008
Related Reading
Colonoscopy prep reportedly harder on women, October 28, 2008
VC finds perforations from incomplete colonoscopy, October 24, 2008
VC with automated insufflation effective in stenosing cancer. March 24, 2008
Significant VC findings found after incomplete colonoscopy, August 8, 2007
Sex, age, location influence incomplete colonoscopy rates, July 3, 2007
Copyright © 2008 AuntMinnie.com





















