
A new study published in the July issue of Pediatric Radiology documents the heavy toll that children suffer from accidents involving all-terrain vehicles (ATVs). The research may provide support for calls to ban children younger than 16 from riding or driving the machines.
ATVs represent a growing health problem in the U.S., according to government statistics. Between 1996 and 2005, the estimated number of ATVs in use in the U.S. tripled, from 2.4 million to 6.9 million vehicles. The number of injured children has increased as well. The Consumer Federation of America (CFA) of Washington, DC, reported that ATV injuries to children increased 94% between 1993 and 2001.
Forty thousand children between 6 months and 16 years of age sustained injuries during ATV use that required emergency department treatment in 2007, the year for which the most current statistics are available. Children younger than 18 account for 30% of ATV-related hospitalizations, and CFA statistics indicate that while children younger than 16 represented only 14% of solo riders in 2002, they had 28% of the fatalities and 37% of the injuries.
In an effort to document the toll, pediatric radiologists and a trauma program coordinator from Arkansas Children's Hospital of the University of Arkansas for Medical Sciences in Little Rock, including lead author Dr. Chetan Shah, quantified the types of injuries 512 children sustained during a 10-year period between 1998 and 2007. Their sobering findings are published in the July issue of Pediatric Radiology (2009, Vol. 39:7, p. 677-684).
The 350 boys and 162 girls were predominantly Caucasian (94%). Fifty-one percent were 6 months to 13 years of age and 49% were 13 to 18. Fewer than 10% wore helmets at the time of the accident. The group included both drivers and passengers.
Injury causes that were specified included overturning (24%) or falling off (18%) the vehicle, hitting a stationary object (18%), or colliding with another moving vehicle (15%).
ATV injury categories
|
A total of 285 CT exams were performed, including scans for all 244 children who sustained head injuries. Calvarial skull fractures (104) were the most common head injury, followed by meningeal hemorrhages (84), brain injuries (76), subdural hematomas (51), epidural hematomas (31), and subarachnoid hemorrhages (6).
Twenty-one children had spinal fractures, and five children had spinal cord injuries.
![]() |
| Spinal cord injury: Sagittal CT (above) and short-tau inversion recovery (STIR) MRI (below) images of the thoracic spine of a 16-year-old male who was found in a ditch by a passerby after a rollover ATV accident. He suffered compression fractures of T5 and T6 with anterior subluxation of T5 over T6 with intraspinal fracture fragments and severe spinal cord injury. Spinal cord showed near complete transaction at this level. Subsequently, he developed dural cerebrospinal fluid leak at T5-6 level. He also suffered fracture of C2 vertebra and multiple facial bone fractures. He was not wearing a helmet. On a recent follow-up eight months after the injury, there is no improvement in paraplegia. All images courtesy of Dr. Chetan Shah. |
![]() |
Extremity injuries were significant. Thirty-four percent of the injured children, or 172, had 227 extremity fractures. Traumatic amputations were performed on 12 children. Twenty-five children had chest wall fractures.
![]() |
| Finger amputation: Hand radiograph of a 7-year-old boy with an ATV injury who sustained traumatic amputation of the left thumb and index finger at the scene of the accident. |
Torso injuries were also common, with 97 children injuring their lungs, liver, spleen, kidney, and pancreas. Almost half of this group (48%) injured multiple organs. Twenty-nine children also were diagnosed with pneumothorax or hemothorax.
![]() |
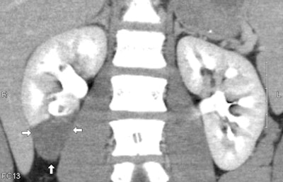
| Devascularization of lower pole of right kidney: Coronal reconstruction image of contrast-enhanced CT scan of the abdomen of a 13-year-old male ATV rider. He was struck by a car and presented with hematuria. The image shows devascularization of the lower pole of the right kidney as indicated by arrows. |
Several factors contributed to the high percentage of accidents involving children. The three- or four-wheel vehicles have a high center of gravity and are stabilized during operation by the weight of the driver. The majority of children younger than 12 do not have sufficient body size, strength, or motor skills and coordination to operate an ATV safely. In addition, children between 12 and 16 lack the necessary perceptual abilities and judgment, according to a 2005 position paper from the American Academy of Orthopaedic Surgeons (AAOS) of Rosemont, IL.
Call to action
The study's results are prompting radiologists, led by Dr. S. Bruce Greenberg, at Arkansas Children's to call for radiologists to make physicians -- specifically, pediatricians and residents -- aware of the serious injuries and fatalities that ATVs cause to children and young adults. They believe that permitting children younger than 16 years of age to either operate or ride ATVs could be construed as a form of child neglect and child abuse.
They are joining a growing movement of physicians. The American Academy of Pediatrics (AAP) in Elk Grove Village, IL, has recommend that legislation be initiated in all states to prohibit the use of ATVs by children younger than 16. The AAP has been joined by the AAOS and the American College of Surgeons (ACS) in Chicago.
A statement from Safe Kids Worldwide, a Washington, DC-based global coalition of safety experts, educators, corporations, foundations, governments, and volunteers from 16 countries, says it all, "After extensive review of the data, Safe Kids Worldwide concludes that there is simply no way to make ATV riding a safe activity for children."
By Cynthia E. Keen
AuntMinnie.com staff writer
July 7, 2009
Copyright © 2009 AuntMinnie.com






















