
An inappropriately timed call to nature by infants and toddlers wearing disposable diapers can create artifacts that conceal pertinent imaging findings, warn radiologists from Children's Hospital of Philadelphia in Pennsylvania.
![]() |
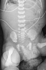
| Radiograph of newborn infant with congenital diaphragmatic hernia. Note mottled density overlying the lower pelvis caused by the wet disposable diaper. Image courtesy of Dr. Richard Markowitz. |
Dr. Richard Markowitz, a pediatric radiologist and president of the hospital's medical staff, and colleagues noticed that fluid absorbed by a wet disposable diaper appears as a myriad of small, coalescent nodular densities that have CT attenuation and MR signal characteristics. Standard radiographs also are affected.
The artifacts can obscure relevant radiographic findings, including calcifications, hernias, or pneumatosis intestinalis. They also may be misinterpreted as excreted contrast material, feces, or some other type of radiopaque material.
Dry diapers that contain an absorbent polymer pad produce no artifacts. Nor do cloth diapers, whether wet or dry.
Copyright © 2009 AuntMinnie.com


















