
CHICAGO - Low-dose abdominal CT images reconstructed with an adaptive statistical iterative reconstruction (ASIR) technique are equivalent -- and, in fact, slightly better in quality -- than standard-dose images reconstructed with filtered back projection (FBP).
While FBP is the conventional CT reconstruction technique, ASIR is a promising new method that allows radiation dose reduction with improved image quality. Use of the technique is gaining popularity in facilities that have access to it, particularly in abdominal applications.
Researchers at Massachusetts General Hospital (MGH) in Boston compared repeat scans acquired with the two acquisition techniques in a group of patients for whom low-dose image acquisition is a key concern. Avinash Kambadakone from the hospital's abdominal imaging department presented his results on Thursday at the 2009 RSNA meeting.
"Patients with Crohn's disease are often young, and the disease process is characterized by multiple remissions and relapses ... so they need to get multiple CT scans throughout their lifetime," Kambadakone said. "The cumulative radiation dose exposure for these patients renders them vulnerable to the lifetime adverse effects of exposure; hence, it's important that we reduce the radiation in these patients."
The prospective study of 48 patients aimed to evaluate image quality and diagnostic acceptability of MDCT studies reconstructed with ASIR, compare the image quality and diagnostic acceptability of ASIR-enabled MDCT and FBP-enabled MDCT studies, and, finally, assess the radiation dose benefits of using the ASIR technique.
In all, 48 Crohn's disease patients (28 women, 20 men; mean age, 34.7 years; range, 17-83 years) underwent ASIR-enabled low-dose imaging on a 64-detector-row scanner (750 HD, GE Healthcare, Chalfont St. Giles, U.K.).
The results in 27 of the 48 patients were compared to studies acquired within the prior year at full dose, Kambadakone told AuntMinnie.com in an interview following his RSNA presentation. In all, 75 MDCT scans were reviewed for the study.
Scanning in all cases was performed in the portal-venous phase following injection of 80-100 cc iodinated contrast at 3-4 cc per second. ASIR of 20% to 40% was applied to the 48 new scans, and dose reduction was obtained by reducing the tube current (standard dose = 150-550 mAs, low dose = 150-450 mAs) over the 10-cm scan length. Images were reconstructed with conventional FBP and with proprietary ASIR software (GE Healthcare).
|
|||||||||||||||||||||||||||
| Chart shows scan acquisition parameters for FBP-enabled images (left) compared to ASIR-enabled images (right), for which automated effective mAs were reduced. All tables and images courtesy of Avinash Kambadakone. |
Two experienced readers blinded to the imaging method compared the datasets for location, size, and conspicuity of lesions as well as diagnostic acceptability using a four-point scale, where 1 was fully acceptable and 4 unacceptable. They measured objective noise and HU values in the liver and aorta for each image series. Data were analyzed using a T-test, Cohen's kappa test, and Wilcoxon signed rank test.
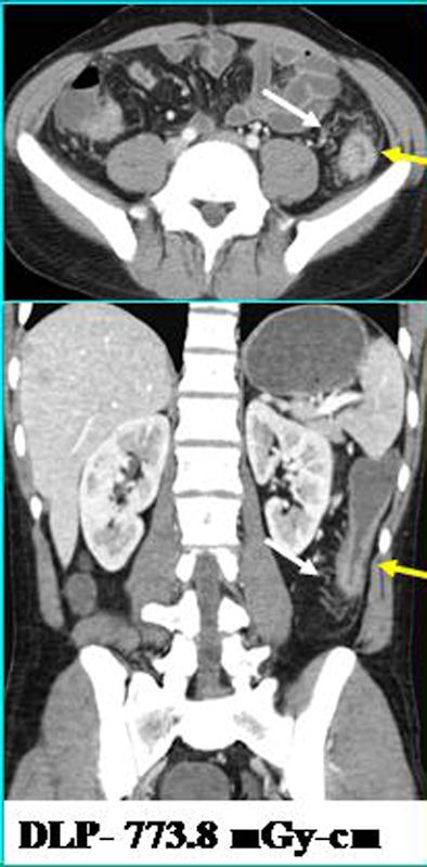
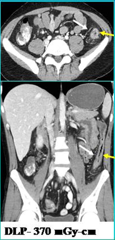
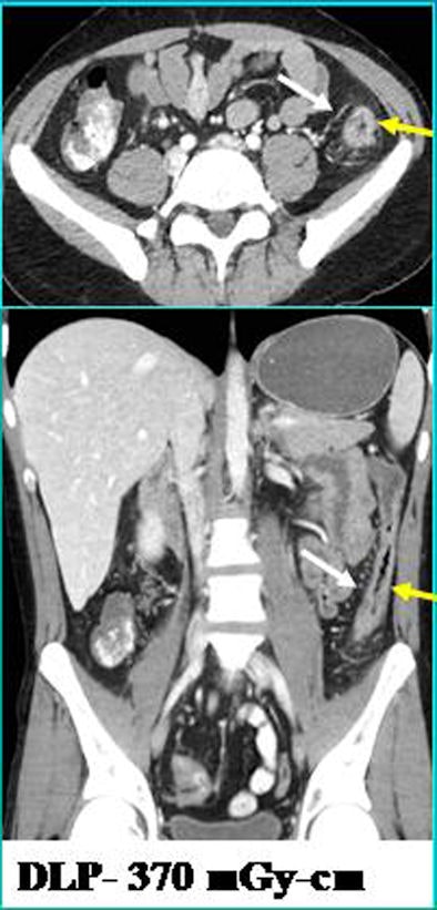
![]() |
| FBP-enabled images acquired with a higher dose (above) are comparable to ASIR-enabled images (below). |
![]() |
"There was also an independent reader who looked at what the readers saw, and looked to see if they missed anything," Kambadakone told AuntMinnie.com. "We looked for changes in the bowel wall which included mural thickening, enhancement, and mural stratifications. And we looked at presence of abscess, stricture, fistulas, lymph nodes, presence of extramural air, and presence of fat stranding, which indicated the presence of active disease," he said. The standard of reference was clinical evaluation and/or endoscopic and surgical results.
According to the results, the subjective image noise scores for ASIR (1.4) and FBP MDCT (1.5) images were comparable, while the objective image noise was also slightly reduced in the ASIR images, though not significantly (p < 0.001), Kambadakone said.
![]() |
| Subjective image quality graded by two expert readers was comparable for both axial images (chart, left) and coronal reformats (chart, right) for FBP-enabled images versus ASIR-enabled images. Across all weight categories, the lower-dose ASIR-enabled images were slightly but not significantly better than FBP-enabled images. |
"There was an average 36% dose reduction across all weight ranges with the use of ASIR-enabled scans compared to FPB-enabled scans," he said. No significant artifacts were seen on the ASIR images at any dose level.
![]() |
| Doses were reduced by 36%, on average, across all weight categories and tissue types. |
|
"MDCT studies reconstructed with the ASIR technique are diagnostically acceptable and have comparable image quality in patients with Crohn's disease," Kambadakone said. "These lower-dose scans will substantially reduce the cumulative radiation dose in young patients with Crohn's disease."
The low-dose ASIR-enabled acquisitions are now standard practice in the department for Crohn's disease patients, he added. Reconstruction with ASIR software takes approximately 15 to 45 seconds, Kambadakone said in response to a question from the audience.
By Eric Barnes
AuntMinnie.com staff writer
December 4, 2009
Related Reading
ASIR reconstruction sharpens images, slices abdominal CT dose, May 21, 2009
New algorithm sharpens coronary artery images, July 14, 2008
CARS report: Fuzzy theory yields sharper CTA images, June 27, 2008
Strategies for reducing 'dose creep' in digital x-ray, April 11, 2007
Copyright © 2009 AuntMinnie.com























