
A clinical study of more than 5,000 asymptomatic individuals is shedding new light on the prevalence and sequelae of stone disease in adults screened with virtual colonoscopy. Researchers found evidence of calculi in nearly 9% of the study population, results that tweak assumptions about groups thought to be at higher risk of stone disease.
Urolithiasis is an expensive and time-consuming condition for healthcare providers to treat, accounting for more than 2 million office visits and nearly 200,000 hospital admissions each year, with estimated costs of more than $2 billion annually in the U.S., noted study authors Dr. Cody Boyce, Dr. Perry Pickhardt, Dr. Edward Lawrence, Dr. David Kim, and Dr. Richard Bruce from the University of Wisconsin School of Medicine and Public Health in Madison. Studies also suggest that the incidence of symptomatic stone disease is increasing, they wrote.
"Despite the obvious importance of this disease, the true prevalence has not been established by objective criteria," Boyce and colleagues wrote (Journal of Urology online, January 19, 2010).
Enter virtual colonoscopy (also known as CT colonography or CTC) screening, which by nature and practice examines the abdomen efficiently for stone disease in large numbers of asymptomatic patients, yielding high sensitivity for stone disease due to the intrinsically high contrast between stones and normal parenchyma at CT.
Unenhanced CT "represents the gold standard for detection ... with an accuracy that approaches 100% due to the increased attenuation values of urinary calculi," the authors wrote. "CT not only represents a noninvasive means to identify, quantify, size, and locate urinary stones, it can also assess for the presence of obstruction and suggest alternative diagnoses in patients with flank or groin pain."
The study examined the prevalence and symptomatic incidence of urolithiasis in 5,047 consecutive asymptomatic adults (mean age, 56.9 years; 2,747 women and 2,300 men) with low-dose virtual colonoscopy (approximately 5 mSv per combined prone and supine study) recording the presence, size, and location of urinary calculi.
The researchers compared the resulting data with screening prevalence and the incidence of symptomatic stone disease during a 10-year interval between 1997 and 2007, comparing it against previously established risk factors.
"A host of clinical risk factors have been associated with urolithiasis, including but not limited to age older than 60 years, male gender, diabetes or insulin resistance, increased [body mass index (BMI)], as well as a number of specific dietary and urinary factors," the authors wrote.
All patients were examined in prone and supine views on eight- or 16-detector-row scanners (LightSpeed series, GE Healthcare, Chalfont St. Giles, U.K.).
Extracolonic CT images in the supine view only were reviewed prospectively on a PACS workstation as 5-mm-thick sections reconstructed at 3-mm intervals, with one of five board-certified radiologists identifying and recording the size and location of stones, "taking care to exclude vascular or other nonstone-related calcifications," wrote the authors.
The prevalence of asymptomatic urolithiasis was 7.8% (395 of 5,047 adults), with an average 2.1 stones per case (range, 1-29) and a mean stone size of 3.0 mm (range, 1-20 mm), the group reported.
Over a 10-year period, 20.5% (81 of 395) of the patients with stones (1.6% of the screening cohort) had at least one symptomatic episode. Men were more likely to have urolithiasis than women (9.7% versus 6.3%, p < 0.001).
"Male gender showed only a modestly increased risk for symptom development, which was not statistically significant," Boyce and colleagues noted. "However, because male gender showed a significantly higher underlying screening prevalence, this combination still led to a higher overall rate of previously detectable (i.e., symptomatic) urolithiasis."
Of the six patients with unsuspected asymptomatic ureteral stones, four had a component of obstructive hydronephrosis, the authors wrote.
Among all risk factors evaluated, male gender was the only one that significantly affected screening prevalence of stone disease, revealing urolithiasis in 9.7% of men (222 of 2,300) versus 6.3% of women (172 of 2,747, p < 0.001), the group reported. Diabetes (9.0% with versus 7.7% without, p = 0.45), obesity (7.9% with versus 7.7% without, p = 0.78), and age older than 60 (8.0% with versus 7.7% without, p = 0.73) didn't significantly affect the prevalence of urolithiasis.
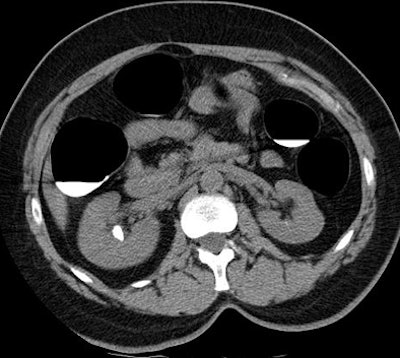
![]() |
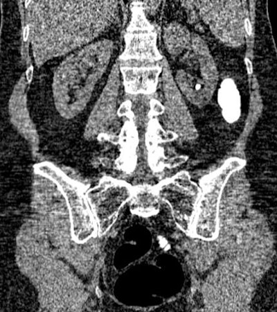
| Above, 14-mm right-sided kidney stone detected at virtual colonoscopy. Below, coronal image shows a left lower pole calculus. All images courtesy of Dr. Perry Pickhardt. |
![]() |
The prevalence of asymptomatic stone disease is in line with another large CTC trial of more than 1,200 asymptomatic individuals (also 7.9% in the 2003 Department of Defense study by Pickhardt et al), suggesting that the rate just under 8% "may represent a generalizable result" in the middle-aged population studied, according to the results.
Previous estimates of stone disease prevalence are generally lower than the present research (5% in one study) because they are based on patient recall or medical coding and, therefore, reflect only symptomatic disease.
Considering the approximate 8% prevalence of stone disease in this cohort, "if no other identifiable etiology for pain is identified by CT, it may be tempting to implicate the incidental urolithiasis as a potential cause," the group wrote. "However, given the relatively high prevalence of incidental asymptomatic urolithiasis ... we believe that assigning causality may be fraught with error. The appropriate treatment of patients with these asymptomatic stones found incidentally at imaging remains uncertain because of the high asymptomatic prevalence and relatively low rate of symptomatic conversion within."
Therefore, initial conservative management may be the most appropriate course of action, "except for patients with a large stone burden, obstruction, or comorbidities such as diabetes. Further investigation into the most appropriate clinical management of unsuspected urolithiasis is warranted," the team wrote.
Among the study limitations, most of the cohort was older than 50, and the study may have overcalled some urolithiasis or missed some symptomatic episodes, the authors noted. Some symptomatic episodes in the 10-year period evaluated preceded the CTC examination.
"By evaluating an asymptomatic screening population, our study provides new insight into the true prevalence of urolithiasis through comprehensive inclusion of asymptomatic disease," Boyce and colleagues wrote. "We also found that approximately one in five adults with asymptomatic urolithiasis will experience symptoms during a 10-year period, which is considerably less than published recurrence rates in previously symptomatic cases but is nonetheless substantial."
The findings are also notable in that two previously established clinical risk factors -- diabetes and obesity -- "do not appear to meaningfully impact the overall prevalence of asymptomatic urolithiasis but are associated with symptomatic disease," they wrote.
By Eric Barnes
AuntMinnie.com staff writer
February 16, 2010
Related Reading
CT dose reductions don't impede detection of large renal calculi, March 18, 2009
Imaging shows signs of melamine poisoning in Chinese infants, March 2, 2009
DECT permits more detailed urinary stone analysis, December 4, 2008
Low-dose CT offers first-line exam for suspected urolithiasis, September 15, 2008
Copyright © 2010 AuntMinnie.com




















