
Could digital radiography (DR) become an alternative to CT for coronary artery calcium scoring? Some U.S. researchers think so -- they've developed a DR-based dual-energy subtraction algorithm that with further refinement could provide calcium scores at a lower cost and radiation dose than CT.
Coronary heart disease is a major killer worldwide, responsible for 17.5 million deaths globally based on 2005 data. Tools such as the Framingham risk index -- which measures risk factors including age, gender, tobacco use, and systolic blood pressure -- are designed to identify those at risk of a heart attack and who might receive preventive therapy.
But the Framingham risk index is only about 75% accurate on its own in assessing cardiovascular risk, and it has failed to identify subclinical heart disease in nearly a quarter of individuals -- including high-profile cases such as former president Bill Clinton.
Recent studies have shown that the Framingham score's accuracy can be improved by adding coronary artery calcium (CAC) scores, derived from CT scans. In fact, a paper published April 28 in the Journal of the American Medical Association found that adding calcium scores to traditional risk factors such as the Framingham score improves the ability of clinicians to predict adverse cardiac events.
But that trend runs counter to increased concerns over CT radiation dose and rising healthcare costs. Dual-energy DR might provide a solution by enabling radiologists to send patients who have high calcium scores directly to therapy, bypassing the need for a CT-generated calcium score, according to Dr. John Mafi, who presented research on the topic at the 2009 RSNA meeting. Currently a resident at Beth Israel Deaconess Medical Center in Boston, Mafi performed the study while a medical student at Case Western Reserve University in Cleveland.
High cost of scoring
Although adding CT calcium scoring improves Framingham's accuracy, CT scans would be costly if applied across a screening population, and the modality also involves a radiation dose of 1-3 mSv per scoring exam. In fact, if CT were used to screen the 50 million Americans older than 55, as recommended by the Houston-based Society for Heart Attack Prevention and Eradication (SHAPE), it could cause as many as 6,000 cancer-related mortalities, based on generally accepted radiation risk models, Mafi said in a phone interview with AuntMinnie.com.
On the other hand, digital radiography offers a far lower radiation dose, in the range of 0.07 mSv, and a much lower cost at around $60 per exam. Though DR isn't known as a cardiac imaging modality, newer dual-energy protocols would help it develop such a role.
Dual-energy (DE) imaging involves the acquisition of two image projections at different energy levels, with images subsequently postprocessed to highlight either soft tissue or bone. Investigators have mostly been pursuing the technique for pulmonary nodules, but it also has high sensitivity for calcified structures -- such as coronary calcium, Mafi said.
Mafi was intrigued by a pilot study on dual-energy imaging published in 2005 in the American Journal of Roentgenology, in which Dr. Robert Gilkeson of Case Western noticed that in addition to pulmonary nodules, DE was also finding calcium in the heart. But just detecting calcium is one thing -- it also needs to be quantified to develop the CAC scores that are so important for patient risk stratification.
To that end, Case Western researchers including Mafi, Gilkeson, Dr. Daniel Simon, and Baowei Fei, Ph.D., developed a quantification algorithm that analyzes coronary plaque structures by first detecting the area of the plaque, then expanding the region of interest by 10% for a sort of "halo" effect. The algorithm, based on work published in 1991 by Molloi, Detrano et al in Medical Physics (Vol. 18:2, pp. 295-298), samples the intensity of the plaque and subtracts the intensity of the halo, thus deriving a CAC score.
To test the technique, Mafi and colleagues used it over 12 months to examine 39 patients seen at Case Western who had documented CAC scores on noncontrast CT. Images were acquired on a commercially available DR unit (Revolution XR/d, GE Healthcare, Chalfont St. Giles, U.K.), using a protocol in which a 60-kV image was acquired first, followed by a 150-msec delay and then a conventional 120-kV image.
The protocol produces three images: a traditional 120-kV x-ray, a soft-tissue enhanced image, and an image that enhances bone and calcified structures. Postprocessing is then used to combine the calcified image with the traditional study to derive a CAC score.
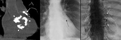
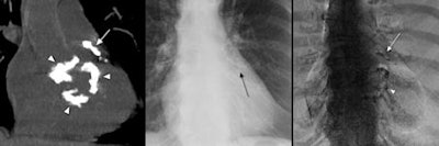
![]() |
| Left, CT coronal reconstruction of calcium in the left anterior descending (LAD) artery (white arrow), aortic valve (white arrowhead), mitral valve (white arrowhead), and descending aorta (white arrowhead). Center, corresponding standard posteroanterior radiograph suspicious of CAC (black arrow). Right, corresponding DE image demonstrating calcium in the LAD within the CAC triangle (white arrow) and mitral annulus (white arrowhead). The aortic valve is not well visualized as it is impeded by the spine. Future studies on DE should focus on testing left anterior oblique projections for improved visualization of the right coronary artery and the aortic valve. Images courtesy of Dr. John Mafi. |
To assess the efficacy of the technique, the researchers compared the DE scores to the CT-based CAC scores, and found that DE correlated with CT 87% of the time (p < 0.0001).
Mafi said the technique showed strong positive predictive value (PPV), particularly in patients with CT-based CAC scores greater than 400, with a PPV of 100% at this level. It did less well in patients with CAC scores less than 400, scoring a negative predictive value of 52%, indicating that these patients might require follow-up CT.
In future research, Mafi and colleagues hope to improve upon the DE technique by using electrocardiographic gating to reduce motion artifacts. In addition, left anterior oblique image acquisitions could be used rather than the standard posteroanterior view, in which the right coronary artery is sometimes blocked by the spine.
Should the technology pan out, Mafi envisions it being used to screen asymptomatic patients, finding those who are thought to be at low or intermediate risk, and reclassifying them as intermediate or high risk -- sending them on to therapy without the need for a CT score.
"We aren't saying it's ready for clinical use," Mafi said. "It's a pilot study, and DE deserves more research and attention as an inexpensive, low-radiation screening tool for coronary disease."
By Brian Casey
AuntMinnie.com staff writer
May 5, 2010
Related Reading
CT calcium scores boost value of cardiac risk factors, April 28, 2010
Will new DR technologies offer alternative to CT? Part 2, March 25, 2010
Will new DR technologies offer alternative to CT? Part 1, March 24, 2010
Coronary CTA quality dips in patients with high calcium scores, March 18, 2010
Calcium findings on abdominal CT linked to heart attack risk, March 15, 2010
Copyright © 2010 AuntMinnie.com





















