
Adnexal masses are common incidental findings at virtual colonoscopy that can point to more serious problems. But a new study in the October issue of Radiology found they do not contribute to the early detection of ovarian cancer.
Ovarian cancer, too often fatal because it often goes unnoticed in its early stages, has eluded efforts at early detection, noted study authors Perry Pickhardt, MD, and Meghan Hanson, MD.
"Five-year survival for ovarian cancer is greater than 90% for localized disease, but the overall survival is well below 50% because the majority of cases are advanced at diagnosis," they wrote (Radiology, October 2010, Vol. 257:1, pp. 144-150).
The numbers suggest a role for screening, but there is little evidence that screening asymptomatic postmenopausal women can reduce mortality among average-risk women, they wrote. And, unfortunately, the present study does not change the calculus.
Virtual colonoscopy (also known as CT colonography or CTC) screening in nearly 3,000 women yielded incidental adnexal masses in 4.1% of cases, but it revealed no new ovarian cancer. At the same time, four women without adnexal findings at VC went on to develop ovarian cancer.
"Workup of incidental adnexal lesions is associated with low diagnostic yield for ovarian cancer, which suggests the need for less aggressive management in low-risk women," the authors concluded.
The effort seemed promising as identification of adnexal lesions "nearly always represents an unsuspected incidental finding, which allows for a unique opportunity to investigate this well-suited cohort," they wrote. The study aimed to determine "the prevalence, workup, and outcomes of indeterminate adnexal masses identified at low-dose unenhanced CT in asymptomatic women age 50 and older undergoing colonography screening," Pickhardt and Hanson wrote.
They examined 2,869 consecutive asymptomatic women 50 years and older (mean age, 57.2 years; range, 50-97 years) who underwent virtual colonoscopy screening at University of Wisconsin Hospital in Madison.
After cathartic bowel cleansing and automated colonic insufflation with CO2, participants underwent prone and supine low-dose CTC of the abdomen on a 16-detector-row CT scanner (LightSpeed, GE Healthcare, Chalfont St. Giles, U.K.).
Images were acquired using 1.25-mm collimation, 120 kVp, static (50-75 mAs) or modulated (noise index, 50; range, 30-300 mA) tube current technique, and a 1-mm reconstruction interval. For the extracolonic evaluations, investigators examined the supine images using a 5-mm section thickness at 3-mm intervals.
One of five experienced abdominal radiologists examined the images, limiting additional workup to those cases rated E3 (likely benign but incompletely characterized) or E4 (potentially or definitely important) on C-RADS.
In line with previous research, adnexal masses were common in the screening cohort. In all, 118 women (mean age, 56.2 years) presented with an indeterminate adnexal mass (108 bilateral masses, 108 unilateral), with a mean size of 4.1 cm at prospective CT interpretation.
Eighty of the women underwent additional evaluation including pelvic scanning (n = 76) and/or surgical resection (n = 26). Thirty-eight (32.2%) women had neither imaging nor surgery.
The pelvic scans were performed with ultrasound (n= 71), MRI (n = 7), and contrast-enhanced CT (n = 7). The surgery in the 26 women (laparoscopic salpingo-oophorectomy comprised 23 of the cases) represented 22% of those with indeterminate adnexal masses and 0.9% of the screening cohort.
Surgery identified cystadenoma or cystadenofibroma in 14 cases, neoplastic cysts in five, mature teratomas in three, hydrosalpinx in two, and fibroma in one patient, the team reported. Although no ovarian cancers were identified, four cases developed among 2,751 women without adnexal findings at follow-up 15 to 44 months after negative CT.
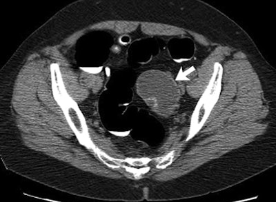
![]() |
| Adnexal pathologic findings (arrow) identified at routine CTC screening and surgically removed after further workup include mucinous cystadenoma. Image republished with permission of the Radiology Society of North America from Radiology, October 2010, Vol. 257:1, pp. 144-150. |
The lack of ovarian cancer cases in women with incidental masses suggests that routine CT screening would be of little use in the early identification of ovarian cancers, the authors noted. Nor was a negative CT finding protective against the subsequent development of ovarian cancer. To explain this result, the authors suggested that differences in disease prevalence may be important. While adnexal lesions are common, ovarian cancer is rare, with only 22,000 new diagnoses in the U.S. each year (leading to approximately 15,000 deaths).
In any case, more effective risk factor assessment may be needed to help detect more early cases of ovarian cancer among high-risk women, they wrote.
"The appropriateness and relative contribution of serum biomarkers, proteomics, and imaging studies has yet to be sorted out," Pickhardt and Hanson wrote. However, a recent study by Moore and colleagues showed that "a marker bioassay combining human epididymis protein 4 (HE4) and CA-125 levels was moderately successful in the classification of women with adnexal masses into high- and low-risk groups."
Two main limitations of the study included its use of noncontrast CTC scans, and the lack of strict imaging criteria for identifying adnexal masses.
"Our findings would seem to support the use of less stringent size criteria, as ovarian cancer was not found at even larger lesion sizes," they wrote.
The results suggest that "the time window for presymptomatic cancer detection may be too narrow for screening of the general population," they concluded. "On the basis of our findings, more refined risk factor assessment with better identification of women and higher risk and perhaps less aggressive management of low-risk cases would appear to be warranted."
By Eric Barnes
AuntMinnie.com staff writer
September 30, 2010
Related Reading
Extracolonic findings add value to VC screening, August 24, 2010
VC not cost-effective -- unless screening rates rise, July 27, 2010
Screening VC sorts out incidental kidney lesions, June 15, 2010
5-year C-RADS analysis shows stable VC screening results, May 6, 2010
Significant extracolonic cancer found in VC screening patients, June 12, 2007
Copyright © 2010 AuntMinnie.com




















