
Incidental findings uncovered at low-dose CT lung cancer screening increase the overall yield of malignancies diagnosed from the annual exams for high-risk, asymptomatic patients, but their evaluation adds an additional layer of cost to such programs, Danish researchers have found.
Additional analysis from the Danish Lung Cancer Screening Trial showed that this increased diagnostic yield came at the cost of an additional 640 euros ($800 U.S.) per patient per year, according to Dr. Zaigham Saghir, a doctoral research fellow at Gentofte Hospital.
Saghir shared the research, which combined results from its randomized, controlled trial and cost data from Denmark's comprehensive National Health Service Register, during a presentation at the American Thoracic Society (ATS) meeting in May.
Previous trials have characterized incidental findings as either having considerable importance (the ITALUNG trial) or hardly any at all (the Dutch-Belgian NELSON trial). Five-year results from the Danish trial compared the clinical experience of 4,104 healthy heavy smokers and ex-smokers who either did or did not receive low-dose CT lung exams for five consecutive years (Thorax, January 27, 2012).
Overall, the results showed that screening effectively diagnosed early disease, but the study lacked statistical power to confirm if screening reduced lung cancer-related mortality or detected the disease at an earlier stage, as previously reported by the National Lung Screening Trial (NLST) and International Early Lung Cancer Action Program (I-ELCAP).
A total of 143 extrapulmonary incidental findings were detected in 140 of the 2,052 participants who underwent annual low-dose screening, resulting in a 6.8% per patient detection rate. No significant differences were identified in patient age, sex, smoking duration, smoking status, or spirometry between the study population and participants with incidental findings, Saghir said.
The anatomical distribution of incidental findings varied as shown in the following table. Eleven (7.7%) of the 143 lesions were malignant.
Anatomic distribution of incidental findings, Danish Lung Cancer Screening Trial, 2012
|
The clinical relevance of cancerous incidental findings can been seen by comparing their 0.6% five-year detection rate with the trial's annual mean lung cancer detection rate of 0.7%, Saghir noted.
"We find this rate for malignant incidental findings to be considerable," he said.
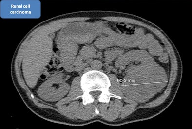
![]() |
| An axial view from a low-dose CT lung screening exam reveals the presence of a large renal tumor. Image courtesy of Dr. Zaigham Saghir. |
But an additional $800 per patient per year was generated by additional diagnostic costs associated with clinical attention devoted to nonpulmonary lesions. The cost of screening incidental findings averaged the equivalent of $4,200 U.S. per year (based on conversion of euros to dollars). Screening without incidental findings cost a mean of $3,400 annually, and the total healthcare costs of trial participants who were not screened averaged $3,600 per year.
The researchers could distinguish between incidental and nonincidental findings for the unscreened population. These patients received a conventional standard of care during the five-year period.
Saghir associated the higher cost of cases where screening uncovered incidental findings to diagnostic imaging follow-ups needed to evaluate the lesions. Data related to therapeutic costs have been collected but have not yet been evaluated, he said.
The study was also limited by reporting total healthcare costs without considering their effect on specific subcategories of diagnosis, such as imaging versus bronchoscopy. The relative risks from medical complications and the psychosocial consequences from added follow-up will be considered in future studies, he said.
Still, the current study sheds light on the clinical and cost implications of incidental findings characterized during low-dose CT lung screenings, according to Saghir.
"We believe incidental findings are a vital part of any CT screening program," he told AuntMinnie.com. "Almost one of every 12 incidental findings led to a malignant diagnosis. The radiologist should take this into consideration."


















