
CT facilities have several options for opacifying the gastrointestinal (GI) tract before CT of the abdomen and pelvis, with barium-based and iodine-based oral contrast media the most commonly used products. In this article, I offer a formula for diluting and administering ionic iodinated contrast for optimal performance in these scans.
The advantage of commercially available barium products is that they are predominantly premixed and/or premeasured, making them easy to use. However, iodinated contrast agents have certain advantages; the downside is that commercially available iodinated products are too concentrated for direct use and must be diluted before CT imaging.
But what's the appropriate dilution ratio and administration protocol for iodinated oral contrast media?
This seemingly very simple question has been answered by a surprisingly large number of administration regimens that can vary significantly from institution to institution. While there is no single best answer to this question for all patients and all situations, I would like to offer a suggested protocol.
First, let us review the available iodinated contrast agents. Gastrografin (Bracco Diagnostics) and MD-Gastroview (Mallinckrodt) are ionic, highly hyperosmolar, iodinated contrast agents. Gastrografin is a lemon-flavored solution of 660 mg of diatrizoate meglumine and 100 mg of diatrizoate sodium per mL (367 mg I/mL).
Dr. Peter Quagliano.
MD-Gastroview is a lemon/vanilla-flavored solution containing the exact same concentration of the iodinated diatrizoate salts. Both products have an osmolality of approximately 2,179 mOsm/kg. Both Gastrografin and MD-Gastroview are available in 30-mL single-use bottles.
Omnipaque is the only nonionic iodinated contrast agent approved for oral administration in the U.S. Omnipaque 240 (ioxehol, GE Healthcare) contains 240 mg I/mL and is mildly hyperosmolar, with an osmolality of 672 mOsm/kg.
Omnipaque is available in a variety of concentrations and bottle sizes, but Omnipaque 240 in a 50-mL bottle often proves to be the most economical for single-use administration. Other nonionic contrast agents, such as Isovue 250 (Bracco), are also used by some imaging centers on an off-label basis.
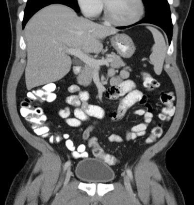
While the iodinated contrast agents are hyperosmolar in their full-strength concentration, when diluted with water or another beverage, they become quite hypo-osmolar relative to plasma, which has an osmolality of 290 mOsm/kg. For example, a 3% solution of Gastrografin in water (30 mL of Gastrografin in 970 mL of water) has a measured osmolality of 57 mOsm/kg.
The diatrizoate salts in Gastrografin are not absorbed by the gastrointestinal tract, but the water used for dilution is progressively absorbed as the solution passes through the small bowel. The Gastrografin solution thereby becomes progressively more concentrated during its passage, and the Hounsfield unit (HU) value of the solution proportionally increases, appearing as progressively "whiter" contrast on the CT images.
The same phenomenon occurs to an even greater extent when Omnipaque is diluted with water, since the lower osmolality of nonionic Omnipaque results in a greater amount of water being absorbed as the solution passes through the small bowel.
The determination of an ideal dilution ratio and contrast administration protocol must take into account the phenomenon of contrast concentration during bowel passage. Other factors that need to be considered include the desired contrast HU throughout the bowel, the desired degree of bowel-lumen filling, and the desired extent of bowel filled by contrast at the expected imaging time.
These factors have to be balanced against cost and package-size limitations, the limits of contrast volume and rate of consumption that patients will tolerate, and side effects of nausea, vomiting, or diarrhea when too much contrast is administered in a short time period.
While a single-administration protocol may not prove ideal for all patients or imaging center needs, I have found the following mixing and administration protocols useful for adult patients undergoing routine abdominal/pelvic CT.
Ionic iodinated contrast protocol
I have found the following to be a useful and practical mixing ratio: Mix 15 mL of ionic iodinated contrast (Gastrografin or MD-Gastroview) with each bottle of Breeza (Beekley Medical) flavored beverage or other ready-to-serve 500-mL beverage.
Gastrografin and MD-Gastroview are each available in 30-mL bottles.
Ionic iodinated contrast administration protocol:
- The patient should preferably be NPO (nothing by mouth) for four hours prior to ingestion of oral contrast, except for necessary medications. The patient consumes a total of 1,000 mL of the oral contrast mixture prior to abdominal/pelvic CT imaging.
- Utilizing the ionic iodinated contrast mixing protocol above, the patient should consume one-half bottle of mixture over 10 minutes.
- The remaining 1.5 bottles of mixture should be consumed evenly over the next 50 to 60 minutes (60 to 70 minutes after the first sip).
- Scanning can be performed 70 to 75 minutes after the first sip.
For most patients this protocol provides relatively uniform enhancement of the stomach and small bowel, although significant differences can be seen in some patients.

The degree of colonic enhancement is variable. If gastric opacification is of particular concern, a greater proportion of the contrast mixture should be saved for ingestion just prior to scanning, or 250 mL of an additional mixed bottle should be ingested just before scanning.
Disclosures
The author has a licensing agreement with Beekley Medical, the maker of Breeza, a flavored beverage for use with oral iodinated contrast.
Dr. Quagliano is a diagnostic radiologist at the McGuire Veterans Affairs Medical Center in Richmond, VA. One of his primary areas of interest and research is the field of oral contrast administration.