
Minnies winners, page 2
Best Radiologist Training Program
Winner: Mallinckrodt Institute of Radiology, St. Louis, MO
Mallinckrodt Institute of Radiology is to radiology what the St. Louis Cardinals are to baseball -- a perennial favorite to claim top honors. And as the Cardinals battle in the World Series for baseball's top prize this week, St. Louis-based Mallinckrodt wins the award in radiology as the Best Radiologist Training Program.
Mallinckrodt's track record over the past decade is even more impressive than that of its baseball brethren. The institution garnered top Minnies honors in 2011, 2010, and 2007 ... besting the Cardinals' record of championships in 2011 and 2006.
Mallinckrodt Institute of Radiology in St. Louis.Founded in 1930, Mallinckrodt Institute of Radiology soon won a reputation for spearheading advances in radiology. Those at the institute pioneered early work in tomography and cyclotron-produced radioisotopes, as well as angiography.
Mallinckrodt installed one of the first cyclotrons designed for medical use, and it was instrumental in the development of PET in the 1970s; the institute claims to be the only medical facility with three dedicated cyclotrons for the production of PET radiopharmaceuticals. It is also one of a handful of U.S. sites to have a PET/MRI scanner installed for both clinical and research use.
Today, Mallinckrodt Institute of Radiology has 500 employees, of whom 153 are academic staff, and more than 600,000 clinical exams and procedures are performed each year at its main facility in St. Louis, as well as at satellite facilities that include Barnes-Jewish Hospital, St. Louis Children's Hospital, and other sites in the St. Louis area.
The program began training its first radiologist in 1937 and is currently led by Dr. R. Gilbert Jost as director, with Dr. Jennifer Gould as residency program director. While at least two hours of each workday are devoted to teaching residents, the program also touts its commitment to research and its wide network of alumni throughout the world.
Gould believes that the secret of Mallinckrodt's success is its commitment to resident education, even as it maintains a strong research program. For example, every imaging study that a resident interprets is reviewed in a one-on-one session with an attending physician, giving residents daily and immediate feedback on how they are doing.
"People know Mallinckrodt for its research, but the clincial staff are there with residents all day everyday reading at viewboxes," she told AuntMinnie.com. "We always try to make sure that residents get immediate feedback on the cases they read, because that's how they really learn."
Runner-up: American College of Radiology's Radiology Leadership Institute, Reston, VA
Best Radiologic Technologist Training Program
Winner: Johns Hopkins University, Baltimore, MD
This year Johns Hopkins University adds another award for Best Radiologic Technologist Training Program to the haul it has assembled over the past 14 years of the Minnies. The program most recently won the category in 2010 and 2008.
Johns Hopkins University in Baltimore.
Johns Hopkins offers RT education programs in three main categories: radiography, nuclear medicine, and diagnostic sonography. The program trains 46 students across the three disciplines, and training periods range from 18 months in radiography and nuclear medicine to 14 months in diagnostic sonography, according to Alison Ramos, director of the schools of medical imaging at Hopkins.
Johns Hopkins also offers two advanced imaging programs: a CT program that lasts five months and an MRI program that lasts six months. Most of the students in these programs are radiologic technologists who are already working at the university but who want to gain additional advanced education. Nuclear medicine students also receive additional training in CT so they can take their CT registry as well; this gives them some flexibility and makes them more attractive as hiring prospects, according to Ramos.
The program certainly benefits from its affiliation with Johns Hopkins, one of the premier institutions in radiology. But it also attracts students who are deeply committed to careers in healthcare and radiology, according to Sandra Moore, director of the school's radiography program.
"We look for students who are really committed and really want this," Moore said. "We are looking for students who really want to care for people. The students who are here really want to be here."
Runner-up: Hospital of the University of Pennsylvania, Philadelphia, PA
Most Significant News Event in Radiology
Winner: CT lung screening gets U.S. Preventive Services Task Force endorsement
CT lung cancer screening has been building inexorable force toward becoming the newest screening test offered on a widespread basis in the U.S., but there remained one immovable object: the U.S. Preventive Services Task Force (USPSTF). In July, that object was moved to put its stamp of approval on CT screening, and it issued a draft recommendation in favor of the exam.

When finalized, USPSTF's action will set the wheels in motion for securing Medicare reimbursement for CT screening from the U.S. Centers for Medicare and Medicaid Services (CMS). If and when that happens, imaging facilities will likely see a flood of individuals at high risk for lung cancer seeking the scans.
Proponents of CT screening were heartened by the USPSTF decision, but many believe there are still battles to be fought. USPSTF limited its draft recommendation to the conservative criteria used in the National Lung Screening Trial (NLST), which first demonstrated that screening could reduce lung cancer deaths by approximately 20%.
The NLST criteria would limit CT lung cancer screening to those with 30 pack-years or more of smoking history, ignoring some other risk factors that CT proponents believe could lead to lung cancer. While this thorny issue will be a source of contention in the near term, it won't slow the overall progress toward making CT lung screening a tool for saving thousands of lives in the years to come.
Runner-up: Radiology prepares for implementation of Obamacare
Biggest Threat to Radiology
Winner: Decline in Medicare and third-party reimbursement rates
Lost in the debate over the Affordable Care Act this year has been the pressure put on healthcare organizations by a relentless cascade of Medicare reimbursement cuts implemented by CMS. These cuts, taking place largely under the radar of the lay public, are forcing providers to adapt in a variety of ways.
Nowhere are the cuts being felt more acutely than in medical imaging. Imaging facilities are reporting reimbursement levels that were unthinkable just a few years ago.

Things won't be getting better anytime soon. In July, CMS proposed Medicare physician payment rates for 2014 that include payment cuts at single-digit-percentage rates for most modalities, and the agency also served notice that the equipment utilization rate would rise from 75% to 90%.
In addition, Congress is expected to take up a permanent fix to the flawed sustainable growth rate formula later in its legislative session. While radiology isn't specifically targeted as part of this debate, federal legislators always seem to regard medical imaging as a piggy bank that can be raided anytime a hole in the budget needs to be plugged.
Also looming is a change proposed by CMS to the way it calculates costs relative to charges for services including cardiac catheterization, CT, and MRI exams provided in physician offices. Opponents of the change believe it could place another crushing burden on outpatient imaging, again driving providers into the arms of hospitals.
And the cuts could be having long-term effects. A study published in October in the Journal of the American College of Radiology found that interest in radiology residencies has been dropping precipitously -- which could result in fewer radiologists down the road.
Runner-up: Implementation of Obamacare and accountable care organizations
Hottest Clinical Procedure
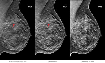
Winner: Digital breast tomosynthesis
In a year dominated by CT, it's remarkable that the Minnies expert panel bucked the trend by choosing digital breast tomosynthesis (DBT) as the Hottest Clinical Procedure, making this the fourth year in a row that tomosynthesis has won the category in a streak that began in 2010.
But on second thought, perhaps it's no surprise, considering the effect breast tomosynthesis is already having on mammography. New research papers continued to pour out in 2013 pointing to the clinical benefits of tomosynthesis, from an improved ability to detect cancer to sharply lower recall rates.
For example, Yale researchers reported in Radiology in July that recall rates with tomosynthesis were 30% lower than with conventional digital mammography. Texas researchers had even better results, with recall rates that were 37% lower, while at the same time reporting a 54% increase in invasive cancer detection and a 35% increase in overall cancer detection.
3D (tomosynthesis) image slice (left), C-View 2D image (center), and conventional 2D image (right). Images courtesy of Hologic.New tools also became available in 2013 that will improve the flexibility of tomosynthesis. Hologic, the first company to bring breast tomosynthesis to the U.S. market, received U.S. Food and Drug Administration (FDA) approval for a 2D mode that will enable its Selenia Dimensions 3D tomosynthesis systems to produce the conventional 2D mammography images that are typically used alongside the tomo volume when reading studies. The company also launched a 3D breast biopsy option designed to be used with its conventional and tomosynthesis mammography systems.
Additionally, U.S. breast centers may soon finally have a choice of tomosynthesis technology: GE Healthcare is moving its SenoClaire system to market after starting sales in Europe this year. The company still needs to navigate the FDA's regulatory process, however.
Breast tomosynthesis may even be able to resolve one of the most nettlesome debates in breast screening: overdiagnosis. Screening skeptics believe that conventional mammography is detecting many cancers that would never become a health threat; tomosynthesis may enable breast imagers to find the cancers that are life-threatening, while reducing the number of patients who need to be worked up.
Runner-up: CT lung cancer screening
Scientific Paper of the Year
Winner: Associations between routine coronary computed tomographic angiography and reduced unnecessary hospital admissions, length of stay, recidivism rates, and invasive coronary angiography in the emergency department triage of chest pain. Poon M et al, Journal of the American College of Cardiology, August 6, 2013.
Dr. Michael Poon from Stony Brook Medicine.
Continuing CT's remarkable run in this year's Minnies competition, the study deemed Scientific Paper of the Year by our expert panel involves use of the modality to reduce downstream healthcare costs by enabling better triage of patients with chest pain presenting to the emergency room.
In the study, a research team led by Dr. Michael Poon, from Stony Brook Medicine in Stony Brook, NY, compared matched cohorts of nearly 900 patients presenting with chest pain to the emergency department. Half the patients received the standard of care (mostly observation), while the other half were evaluated with coronary CT angiography (CCTA) and either discharged if they had no symptoms or admitted.
Poon and colleagues found that patients who received standard care were 5.5 times more likely to be admitted to the hospital than those who got CCTA scans, and hospital stays for the standard-care group were 1.6 times longer. Also, the CCTA patients had lower rates of returning to the emergency department with chest pain.
Using CCTA to triage chest pain patients could ultimately save the healthcare system millions of dollars; in fact, the protocol has been adopted permanently into the standard of care at Stony Brook.
Runner-up: The use of computed tomography in pediatrics and the associated radiation exposure and estimated cancer risk. Miglioretti D et al, JAMA Pediatrics, August 1, 2013.
Previous page | 1 | 2 | 3 | Next page



















