
CT scans are going beyond identifying broken bones to detecting skeletal frailty in the elderly, and even predicting their ability to survive a fall, according to a study in the June edition of the American Journal of Roentgenology.
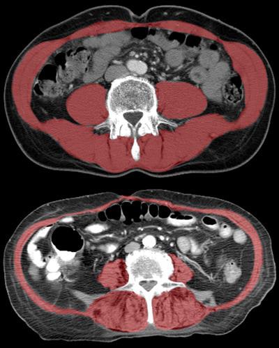
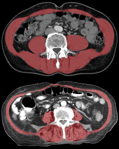
Researchers from the University of California, Davis and Wake Forest School of Medicine studied elderly patients with hip fractures who underwent CT scans. They found that reduced size and density of the so-called core muscle that stabilizes the spine were associated with frailty and reduced lifespan.
"Muscle atrophy and fatty infiltration at CT of older patients with hip fractures were significantly associated with mortality in both men and women," wrote lead author Dr. Robert Boutin and colleagues (AJR, June 2017, Vol. 208:6, pp. W208-W215).
CT scans of core muscle have been used to predict patient outcomes, but this study is the first to use CT to link survival with hip fractures, a significant cause of injury, hospitalization, and disability among older Americans, the authors wrote.
The study included nearly 300 people ages 65 and older who were treated for fall-related injuries at UC Davis Medical Center between 2005 and 2015. All were suspected of breaking their hips and received CT scans to confirm or rule out fracture.
Patients were scanned on one of five MDCT scanners, including one 16-detector-row scanner (GE Healthcare), two 64-detector-row scanners (GE and Siemens Healthineers), and one 128-detector-row scanner (Siemens).
Along with fracture assessment, the CT scans were evaluated for additional measurements of the size and density of lumbar and thoracic muscle alongside the spine. Two experienced readers independently made the measurements while blinded to clinical data. The information was compared with mortality data from the National Death Index.
The results showed that patients with better core muscle had significantly better survival rates over the duration of the 10-year study. Specifically, mortality was associated with decreased thoracic muscle size (odds ratio [OR], 0.66; 95% confidence interval [CI]: 0.49-0.87). Moreover, the association persisted after adjusting for different variables.

In a similar manner, reduced survival was associated with lower thoracic muscle attenuation after adjusting for all of the combinations of covariates (OR: 0.67-0.72; 95% CI: 0.49-0.99). Reduced lumbar muscle size and attenuation did trend with decreased survival but did not reach statistical significance.
"The fact that we were able to predict survival in such a small group of noncancer patients is truly remarkable," said senior author Dr. Leon Lenchik, a professor of radiology at Wake Forest, in a statement accompanying release of the study.
Doctors could potentially use information about muscle loss, or sarcopenia, to determine a patient's level of frailty and use it to guide treatment decisions, concluded Boutin. For example, patients with favorable life expectancies could be directed to total hip arthroplasty for hip fractures, leading to lower reoperation rates, better hip function, and better quality of life.