
In 2015, an Amtrak train departing Philadelphia derailed, killing eight people and injuring 200. Local hospitals treated the injured, and imaging was a crucial part of patient care, according to a review published in the May issue of the American Journal of Roentgenology.
Anup Bhattacharya from Temple University.The accident underscored the importance of imaging for coping with both man-made and natural disasters, lead author Anup Bhattacharya told AuntMinnie.com via email. Bhattacharya is a fourth-year medical student at Temple University in Philadelphia.
"During mass casualty events, medical imaging informs the appropriate clinical care and management of patients," he said. "Knowledge of the imaging patterns of injuries sustained in such incidents will aid clinical teams in more efficient triage, and ultimately improved care, of these patients."
Injury patterns
The accident happened on May 12, 2015, when Amtrak Northeast Regional Train No. 188, traveling from Washington, DC, to New York City, left Philadelphia's 30th Street station. Thirteen minutes later, the train entered a 4° left curve at a speed of 106 mph and derailed. Passengers were taken to several local medical centers, with Temple University Hospital receiving 55 of the most seriously injured.
In their review of the accident, Bhattacharya and colleagues analyzed Temple's PACS and electronic chart system for the records of the 55 patients, who ranged in age from 12 to 72 years. All of the patients arrived at the emergency department within five hours of the accident. The individuals underwent 309 imaging exams within 12 hours of presentation; 154 of these exams were CT, 154 were x-rays, and one was an MRI (AJR, May 2018, Vol. 210:5, pp. 948-961).
Most injuries involved fractures, but many were visceral, the researchers found. Fractures included breaks in the ribs, clavicle, hand, pelvis, ankle, and vertebral column. Visceral injuries included pneumothorax, pulmonary contusions, and hemothorax.
| Type and number of injuries sustained in 2015 Amtrak train derailment | |
| Type of injury | No. of injuries |
| Fracture | 51 |
| Thorax | 17 |
| Lower extremity | 12 |
| Upper extremity | 10 |
| Vertebral column | 8 |
| Head | 4 |
| Visceral | 24 |
| Soft tissue | 8 |
| Radiopaque foreign body | 7 |
| Vascular | 1 |
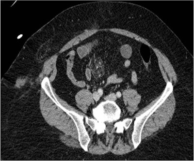
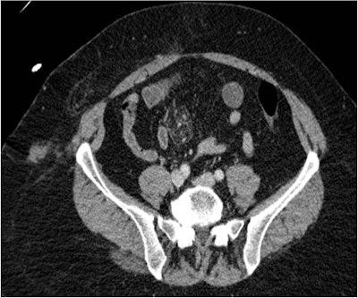
"Most of the injuries were to be expected, but we did observe two unusual ones in the aftermath of the train derailment -- an ileal mesenteric contusion and a posterior sternoclavicular dislocation," Bhattacharya said. "Fortunately, both patients recovered well."
Above, 51-year-old woman with mesenteric contusion. Axial contrast-enhanced CT image of the abdomen shows ileal mesenteric contusion. Note soft-tissue contusion as well. Below, 68-year-old woman with posterior sternoclavicular joint dislocation. Sagittal CT of the chest at bone windows demonstrates posterior sternoclavicular dislocation, with the medial clavicle in close proximity to the great vessels but not in contact. Images courtesy of Anup Bhattacharya.Bhattacharya and colleagues hope their findings will help their emergency physician peers better care for patients in the aftermath of accidents or disasters.
"Medical imaging informs the clinician about the complexities of injuries sustained and guides appropriate clinical care," they wrote. "Knowledge of the common and uncommon injury patterns associated with specific traumatic mechanisms will aid in recognition, triage, and clinical management of patients in such events."





















