
The recent surge in electric scooter (e-scooter) use in major U.S. cities has led to marked increases in various scooter-related injuries. Researchers from Indiana discussed the presentation of these injuries on CT scans and x-ray images at the RSNA 2019 meeting in Chicago.
Growth in e-scooter use across the country has coincided with an increasing number of scooter-related injury reports, motivating the U.S. Centers for Disease Control and Prevention to launch an investigation into the effect of e-scooter use on public health. Dockless e-scooter rentals have become especially popular in urban areas and on college campuses as an alternative to bicycles.
The group, led by Drs. Aiza Ashraf and Mohsin Mukhtar, similarly recognized a sudden spike in emergency imaging exam orders for e-scooter accidents within their health network, Indiana University Health, after the widespread implementation of e-scooters at its affiliated university in September 2018.
To better understand this trend, Ashraf, Mukhtar, and colleagues searched the electronic medical records (EMR) and radiology archives for adults who received a diagnostic imaging exam at the health network for a scooter-related injury between 2013 and 2018. They identified 36 patients who met the criteria. All the patients underwent an x-ray exam, a CT scan, or both, and roughly half were female.
Overall, the researchers found that slightly more than half of the patients had a scooter-related injury evident on x-ray images and CT scans, with an exam positivity rate of 42%. The most frequently acquired imaging exams were radiographs of the extremities (63.8%) and CT scans of the head, face, or cervical spine (18.8%).
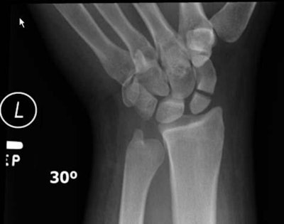
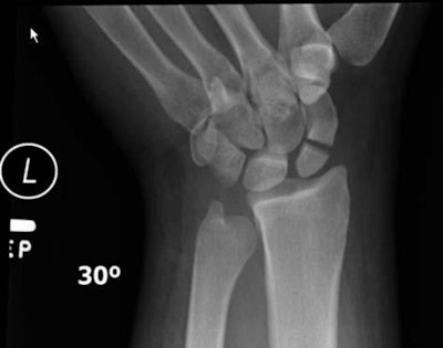
At nearly 32%, the most common type of injury was a wrist fracture (i.e., a distal radius fracture), followed by soft tissue injuries to the head, face, wrist, and ankle in about 26% of the patients.

The findings indicate the importance of riding e-scooters safely, which can travel as fast as 20 miles per hour, and the possible need to impose speed limits and mandate the use of protective equipment such as helmets and wrist guards, the researchers noted.
"Limiting e-scooter speed could reduce the overall incidence and severity of injuries in the event of a fall or collision," Ashraf said in an RSNA statement. "And since these e-scooters could be viewed as a potential public health hazard, we would recommend public education on the use of these devices."
Upon further examining the data, the researchers found that the EMR did not distinguish between manual scooters and e-scooters in at least 200 cases, suggesting that there may have been even more e-scooter accidents than the ones included in their study.
"We believe that many users are not fully aware of the potential significant injuries that may occur with e-scooter use," Mukhtar said. "Raising awareness and doing further research on this topic could inform future policy."