
An ongoing investigation into the novel coronavirus (2019-nCoV) outbreak has characterized the most common CT findings associated with the virus and identified possible markers of disease progression several days after the onset of symptoms. The findings were published online February 6 in Radiology.
The researchers from the U.S. and China examined the imaging findings and clinical data of 51 patients who were admitted to the Shanghai Public Health Clinical Center and confirmed via DNA testing to have 2019-nCoV.
All of the patients underwent at least one CT exam and all but one had some contact with individuals from the city of Wuhan. The median age of the patients was 49 years and roughly half were women. The most common symptoms were fever (96% of patients), cough (47%), and fatigue (31%).
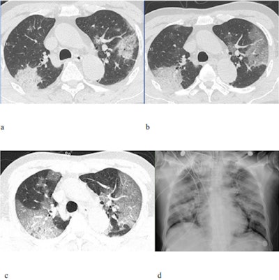
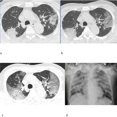
The group, led by Dr. Yuxin Shi, PhD, identified bilateral ground-glass opacities on the CT scans of almost 90% of the patients -- by far the most common imaging finding -- confirming reports from earlier studies.
To be specific, the ground-glass opacities were classified as pure in 77% of the cases, associated with interstitial and/or interlobular septal thickening in 75% of the cases, and associated with consolidation in 59% of the cases. In addition, the opacities involved the peripheral lungs in 86% of the patients and the posterior lungs in 80%. They also found that 80% of the patients' CT scans showed bronchograms and 55% had a consolidation lesion.
Overall, the most common CT findings for 2019-nCoV coincided with the most common findings for other viruses, including the 2009 swine flu virus (H1N1). The distinguishing characteristic for 2019-nCoV was that the imaging findings tended to appear simultaneously in the same patient, with predominant distribution in the posterior and peripheral part of the lungs.
Furthermore, the researchers characterized disease progression for 2019-nCoV by comparing CT features from the first four days of symptom onset to those after the fourth day. Their comparison uncovered a statistically significant increase in the total number of lung findings over time (p = 0.02).

Most prominently, the proportion of ground-glass nodules with consolidation increased from 21% of the lesions in the first four days after symptom onset to 61% after the fourth day (p < 0.001). This statistically significant increase in the percentage of lesions with consolidation was also evident in older patients (50 years or older): 45% of the lesions showed consolidation in the older patients, compared with only 23% in the younger patients (p < 0.001).
This increase in lung consolidation as the disease extended its course indicates that "consolidation lesions could [serve] as a marker of disease progression or more severe disease," Shi and colleagues wrote.
Finally, the high prevalence of bilateral organizing pneumonia in the patient cohort points to corticosteroids as a viable option to manage 2019-nCoV pneumonia, they concluded.