
Chest CT demonstrated better sensitivity than DNA testing at detecting coronavirus disease (COVID-19) in high-risk individuals upon initial presentation of symptoms in a new study, published online February 19 in Radiology. The findings affirm the vital role of CT in the early diagnosis of the condition.
The standard technique to confirm COVID-19 is nucleic acid testing with reverse transcription polymerase chain reaction (RT-PCR). Yet preliminary reports uncovered that initial DNA testing has occasionally failed to identify COVID-19 in individuals whose CT scans indicated otherwise, prompting Chinese officials to add CT to confirm the clinical diagnosis of the disease.
In light of this expansion in diagnostic strategy, researchers from China set out to compare the accuracy of CT and DNA testing as the two principal methods used to detect COVID-19. They examined data from 51 individuals who presented to Taizhou Enze Medical Center with a history of travel to Wuhan, China, or contact with others from the area and had fever or acute respiratory symptoms of unknown cause.
All the individuals underwent a CT exam and had a throat swab or sputum sample taken for DNA testing within the first three days of presentation. Those with a negative initial RT-PCR test underwent repeat testing roughly once per day for up to seven days.

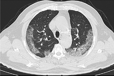
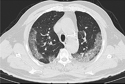
The researchers, led by Dr. Wenbin Ji from Affiliated Taizhou Hospital of Wenzhou Medical University, found that all but one of the patients' CT scans showed abnormal CT features associated with COVID-19, such as peripheral and subpleural ground-glass opacities in the lower lobes of both lungs.
In contrast, initial RT-PCR testing was only able to confirm COVID-19 in 36 out of 51 patients. Repeat DNA testing one to two days later confirmed the presence of the disease in most of the remaining patients, though several patients required three to four repeat DNA tests as many as seven days after the initial test for confirmation.
To be precise, the sensitivity of diagnosing COVID-19 upon initial examination of the patients was 98% with chest CT, compared with 71% with RT-PCR (p < 0.001).
Ji and colleagues offered several possible explanations for the low efficiency of DNA testing for COVID-19, including the inadequacy of nucleic acid detection technology and low viral loads in certain patients to improper clinical sampling of DNA. Regardless of the reason, CT proved to be superior in the early detection of COVID-19 among this patient cohort.
"Our results support the use of chest CT for screening for COVID-19 for patients with clinical and epidemiologic features compatible with COVID-19 infection, particularly when RT-PCR testing is negative," the authors wrote.