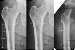
Scottsdale, AZ-based outpatient medical imaging provider SimonMed Imaging will deploy HeartLung Technologies’ AI software for osteoporosis screening on CT scans.
Under the agreement, SimonMed will integrate the software as an add-on to CT scans. The software, AutoBMD AI, opportunistically detects osteoporosis on CT scans acquired for other reasons so that the patient receives no extra x-ray radiation or scanning time, the companies noted. The AI technology generates bone density reports with results similar to those provided by dual-energy x-ray absorptiometry (DEXA) scans.
The U.S. Food and Drug Administration cleared the software as a DEXA-equivalent medical device for opportunistic detection of low bone density on CT scans, according to the two firms.



















