
SALT LAKE CITY - A wide variety of injuries have been imaged at the Olympic Polyclinic, located in the Olympic Village on the University of Utah campus. Injuries seen during the Salt Lake 2002 Olympic Winter Games have most commonly involved the knee and ankle. The most common single injury is the anterior cruciate ligament (ACL) tear. Shoulder dislocations, rotator cuff tears, and muscle tears in the thigh have also been diagnosed, as well as fractures.
The radiologists have all come to the Polyclinic with different protocols for musculoskeletal MRI, which have been enthusiastically tried by the volunteer MRI technologists. Despite the variations in MRI techniques, the radiologists have generally agreed on diagnoses, confirming that there are indeed many ways to skin a cat.
These differences in technique will be evident in a trio of sample cases. First up: The ACL-deficient knee.
![]() |
|
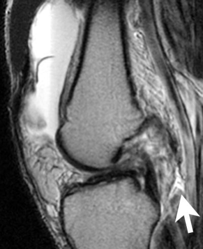
Sagittal fast spin echo, T2-weighted WI with fat saturation through the chronically torn anterior cruciate ligament. As is often seen in chronic tears, the ACL has a flat course. Note the rupture of the joint capsule posteriorly (arrow), a component of the acute injury. |
![]() |
|
Coronal fast spin echo inversion recovery (FSEIR). There is a chronic, loose osteochondral fragment (arrow) in the medial femoral condyle, and an acute osteochondral injury (arrowhead) in the lateral femoral condyle. Injuries to the medial and lateral collateral ligaments are visible. |
![]() |
|
Axial FSEIR. Interstitial tearing of the popliteus muscle is seen. Popliteus muscle injuries also occurred in several athletes as an isolated injury. |
By Dr. Julia Crim
AuntMinnie.com contributing writer
February 19, 2002
Wednesday: Mortise view of the ankle.
Dr. Crim is the chief of musculoskeletal imaging at the Olympic Polyclinic.
Related Reading
Medical imaging goes for gold at Olympic Polyclinic, February 8, 2002
Copyright © 2002 AuntMinnie.com






.fFmgij6Hin.png?auto=compress%2Cformat&fit=crop&h=100&q=70&w=100)



.fFmgij6Hin.png?auto=compress%2Cformat&fit=crop&h=167&q=70&w=250)











