VIENNA - Except for in the lungs, whole-body MRI can perform comparably to CT or PET/CT for following up stage III melanoma patients, according to a presentation on Sunday at the European Congress of Radiology (ECR).
In a study involving 19 patients, a research team led by Dr. Giuseppe Petralia, of the European Institute of Oncology in Milan, found whole-body MRI to be both feasible and sufficiently accurate for follow-up in these advanced-stage melanoma patients.
"In our preliminary observation, whole-body MRI was feasible in our clinical setting and the diagnostic potential was comparable to that of CT and PET/CT; it can be considered a radiation-free alternative technique for monitoring oncologic patients at high risk," Petralia said, when presenting the findings during a Sunday scientific session.
Patients with advanced melanoma (stage III-IV) have a poor survival rate compared to those with earlier stages of melanoma. Because surgery is the only treatment that improves survival in these patients, there is a need for imaging to be able to detect small metastases, Petralia said.
The researchers evaluated the feasibility and potential of whole-body MRI with diffusion-weighted sequences for follow-up in 19 stage III melanoma patients with 71 consecutive whole-body MRI studies. The patients received a baseline whole-body MRI study, followed by additional exams every three months during adjuvant therapy.
Contrast-enhanced whole-body MRI studies were performed on a 1.5-tesla scanner with conventional T1- and T2-weighted as well as diffusion-weighted sequences. Low-dose CT was also performed for the lung.
Four readers prospectively classified findings as benign or suspicious metastases and divided them into nine body regions: brain, neck, thorax, upper abdomen, liver, pelvis, soft tissues, bone, and lymph nodes. For the purposes of the study, the reference standard was biopsy or follow-up.
The whole-body MRI exam was well-tolerated by all patients and took an average of 55 minutes (range, 53-72), Petralia said.
All patients were motivated to receive the studies, and they knew they were receiving a radiation dose (4 mSv per year) that was 30 times less than the 120 mSv per year they would receive with standard full-body CT follow-up, Petralia said.
There were 140 findings in all body regions. Whole-body MRI produced a sensitivity of 93%, specificity of 89%, positive predictive value of 52%, negative predictive value of 99%, and diagnostic accuracy of 90%.
"Our results were more or less comparable to what's available in the literature," he said.
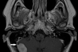
The smallest metastasis detected by whole-body MRI was 3 mm in the liver, while the largest metastasis missed was 5 mm in the brain, he said.
The diagnostic accuracy of whole-body MRI per body region was as follows:
- Brain: 55%
- Neck: 78%
- Thorax: 85%
- Upper abdomen: 85%
- Liver: 100%
- Pelvis: 100%
- Soft tissues: 97%
- Bone: 85%
- Lymph nodes: 60%
The diagnostic accuracy in the lung was 75%.
Petralia noted that 16 additional exams were performed on patients in the study, including nine second-look ultrasound studies, four ultrasound-guided biopsies for soft tissues, one ultrasound-guided biopsy in the liver, one brain MR study for follow-up, and one CT of the thorax for follow-up, he said. Seven of these 16 studies found an additional metastasis.


.fFmgij6Hin.png?auto=compress%2Cformat&fit=crop&h=100&q=70&w=100)




.fFmgij6Hin.png?auto=compress%2Cformat&fit=crop&h=167&q=70&w=250)











