
Breast MRI at the 3-tesla field strength performs better than 1.5-tesla MRI in visualizing spiculated masses previously identified using mammography, with sagittal-view protocols offering the best performance, researchers reported in the June issue of the American Journal of Roentgenology.
Finding spiculated lesions is particularly helpful in breast cancer staging because they confirm the cancer's location. But once they're found, what's the best way to image them?
Researchers at Shizuoka Cancer Center in Japan conducted a study to determine the effectiveness of high-spatial-resolution MRI for visualizing spiculated masses that were identified via mammography. The team compared not only the diagnostic quality of 3-tesla and 1.5-tesla field strengths, but also the most effective plane of imaging (AJR, June 2012, Vol. 198:6, pp. 611-617).
In recent years, 3-tesla breast MRI has become more widely used in clinical settings, in part because the signal-to-noise ratio of the technology translates into higher spatial resolution and faster imaging times. Given these benefits, 3-tesla MRI holds particular promise for improved specificity and detection of small lesions such as spiculations, according to lead study author Dr. Takayoshi Uematsu and colleagues.
"This is the first study to investigate the more modern technical breast MR imaging for visualizing spiculations," Uematsu told AuntMinnie.com. "Our study results showed that the diagnostic quality of sagittal 3-tesla dynamic MRI studies, as determined by assessing the visualization of spiculation, was significantly better than that of axial 3-tesla and 1.5-tesla studies."
The researchers included 120 MRI exams of breast cancers identified as spiculated masses with mammography in the study (71 of the MRI exams were acquired at 3 tesla and included both bilateral axial and unilateral sagittal images; 49 of the studies were acquired at 1.5 tesla and included bilateral axial images only). Three radiologists independently reviewed the studies and scored the visualization of the spiculation with respect to 3-tesla sagittal, 3-tesla axial, or 1.5-tesla axial images.
Uematsu and colleagues found that the diagnostic quality of sagittal 3-tesla dynamic MRI studies was significantly better than that of axial 3-tesla and 1.5-tesla studies. For lesions smaller than 1 cm, the diagnostic quality of sagittal 3-tesla studies was significantly better than that of axial 1.5-tesla studies, they wrote.
![]() |
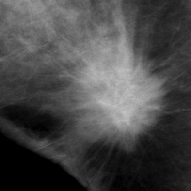
| Images are of a 66-year-old woman with invasive ductal carcinoma. Mammography shows a 25-mm fine spiculated lesion. |
![]() |
| Contrast-enhanced affected unilateral sagittal 3-tesla MR image shows enhancement of a very fine spiculated lesion. |
![]() |
| Photomicrograph of a histologic specimen shows prominent central fibrosis with scattered small cancer cells and infiltrating borders with massive cancer cells. Spiculations on the unilateral sagittal in-plane and through-plane high-spatial-resolution image obtained at 3 tesla were completely concordant with histologic findings. All images courtesy of the American Roentgen Ray Society. |
"Our study results help breast radiologists understand that knowing how to optimize the 3-tesla breast MRI protocol is very important for maximum clinical benefit of breast MR images obtained at 3 tesla with a combined high temporal and spatial resolution," Uematsu told AuntMinnie.com.






.fFmgij6Hin.png?auto=compress%2Cformat&fit=crop&h=100&q=70&w=100)




.fFmgij6Hin.png?auto=compress%2Cformat&fit=crop&h=167&q=70&w=250)











