Contrast agent manufacturer Guerbet has issued a statement regarding gadolinium retention from MRI contrast media following Friday's meeting of the U.S. Food and Drug Administration's (FDA) Medical Imaging Drugs Advisory Committee (MIDAC).
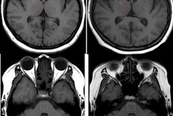
The panel met to discuss whether the FDA should adopt more stringent regulation of gadolinium-based contrast agents (GBCAs) in light of evidence that gadolinium can be retained by patients for years after their MRI scans. MIDAC voted in favor of requiring that a black box warning be added to the packaging of GBCA products, and also that gadolinium contrast manufacturers be asked to perform additional research studies on the safety of their products.
Much of the debate at the September 8 meeting focused on research indicating that gadolinium retention occurs more often with linear-based GBCAs than macrocyclic agents. In its statement, Guerbet noted this distinction and proposed that the evidence supports "precautionary measures primarily with respect to linear agents." The company supported the approach used by the U.S. National Institutes of Health; namely, that linear GBCAs are used only when there is no alternative.
"Guerbet supports taking precautions when using [GBCAs] in patients who will need multiple injections during their lifetime and in fragile populations (children and renal impaired patients)," it said in the statement. "We also support using contrast agents at the lowest diagnostic dose."
The company also noted that it has already agreed to phase out its linear GBCA, Optimark, and will focus its marketing efforts on its macrocyclic agent, Dotarem. Guerbet said that to date there is "no evidence of gadolinium accumulation in the brain or other tissues after repeated administration" of Dotarem. What's more, the company has recently seen increased demand for macrocyclic GBCAs.


.fFmgij6Hin.png?auto=compress%2Cformat&fit=crop&h=100&q=70&w=100)





.fFmgij6Hin.png?auto=compress%2Cformat&fit=crop&h=167&q=70&w=250)











