
CHICAGO - Researchers using 7-tesla MRI with susceptibility-weighted imaging (SWI) can discover more cerebral microbleeds in patients with diffuse axonal injury and better differentiate other anomalies than with 3-tesla SWI, according to a study presented Tuesday at RSNA 2019.
The ultrahigh-field MRI also outperformed the lower field strength by distinguishing two anomalies that 3-tesla MRI perceived as microbleeds.
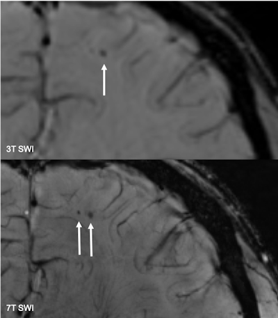
"Seven-tesla SWI improves the depiction of microbleeds, compared with 3-tesla MRI, and allows a more detailed differentiation of microbleeds and small atypical venous blood vessels," said Dr. Cornelius Deuschl, a radiologist at University Hospital Essen in Germany, who presented the results.
The discovery of microbleeds in football players and other athletes who participate in contact sports and have suffered concussions and traumatic brain injury is fairly common. One previous study found microbleeds in approximately 9% of retired professional football players. As for research with ultrahigh-field MRI at 7 tesla, the modality has revealed more microbleeds among patients with diffuse axonal injury that often are caused by blunt force trauma to the head.
"To our knowledge, all neuroimaging studies of microbleeds in America football players have been performed on 1.5-tesla and 3-tesla MRI," Deuschl told RSNA attendees. "So the purpose of our study was to evaluate the diagnostic value of 7-tesla MRI and compare it to the value of 3-tesla MRI on microbleeds."
This ongoing prospective study included 12 German males (mean age, 23.4; range, 22 to 32) who play American football, along with 12 age- and gender-matched subjects with no history of having played contact sports to serve as the control group. All of the participants were scanned on 3-tesla (Magnetom Skyra, Siemens Healthineers) and 7-tesla (Magnetom Terra, Siemens) systems with a protocol that included SWI and a 32-channel radiofrequency head coil for detecting cerebral microbleeds and any additional incidental findings.
Two board-certified neuroradiologists blindly interpreted the results for both subject groups and submitted a consensus analysis for both 3- and 7-tesla MR images on the presence of microbleeds and any additional findings.
The duo observed a total of three cerebral microbleeds in three different American football players on the 3-tesla SWI. With 7-tesla SWI, one of these cerebral microbleeds was confirmed, as well as two smaller adjacent cerebral microbleeds. In the control group, as one might expect, no microbleeds were found.

SWI at 7 tesla also clarified the other two suspected cerebral microbleeds seen on 3-tesla MRI in the other two American football players by distinguishing them as atypical small intracerebral veins.
As for additional findings, both MRI scans uncovered a developmental venous anomaly (DVA) in one of the American football players, which was well delineated in both 3- and 7-tesla images, whereas at 7 tesla a more exact architecture of the anomaly was definable.
Deuschl and colleagues concluded that 7-tesla MRI with SWI "could enable a more accurate detection of cerebral microbleeds and help to understand pathophysiological processes in American football players," in their abstract. "Nevertheless, larger studies at 7 tesla are needed" to further validate the results.