Enterography image gallery

2011 10 21 16 34 00 723 Enterography A

A 2007 study by University of Michigan gastroenterologist Dr. Peter D.R. Higgins showcases the diagnostic power of CT enterography (CTE) for evaluating small bowel Crohn's disease.

Higgins concluded that CTE offered complementary information about symptoms of obstruction in Crohn's disease (Inflammatory Bowel Diseases, March 2007; Vol. 14:3, pp. 262-268).

The following images from Higgins' study illustrate some of the clinically relevant findings about Crohn's disease that can be made with CTE.


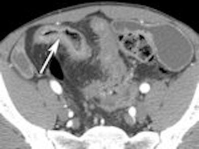
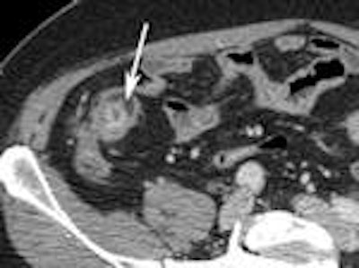
','dvPres', 'clsTopBtn', 'true' );" >2011 10 21 16 33 59 294 Enterography A 150 Increased mesenteric vascularity, recognized by engorged vasculature associated with abnormal bowel. Image provided by PDR Higgins; reprinted with permission of Wiley Interscience.','dvPres', 'clsTopBtn', 'true' );" >2011 10 21 16 33 58 618 Enterography B 150

Click to enlarge.

Left: Mucosal enhancement. Right: Increased mesenteric vascularity.


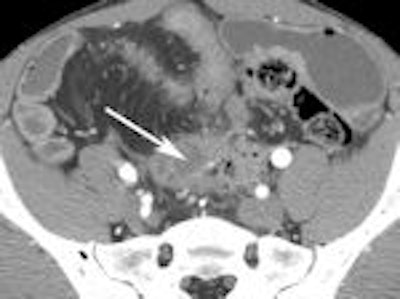
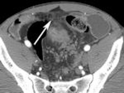
','dvPres', 'clsTopBtn', 'true' );" >2011 10 21 16 33 57 444 Enterography C 150 Extraluminal fluid, recognized by extraluminal fluid (outside the bowel loops) surrounded by an irregular wall and mesenteric stranding. Image provided by PDR Higgins; reprinted with permission of Wiley Interscience.','dvPres', 'clsTopBtn', 'true' );" >2011 10 21 16 33 56 126 Enterography D 150

Click to enlarge.

Left: Bowel wall thickening. Right: Extraluminal fluid.


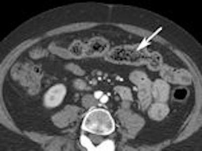
','dvPres', 'clsTopBtn', 'true' );" >2011 10 21 16 33 55 506 Enterography E 150 Extraluminal gas, recognized by very low-density foci outside the bowel loops (gas is lower density than fluid). Image provided by PDR Higgins; reprinted with permission of Wiley Interscience.','dvPres', 'clsTopBtn', 'true' );" >2011 10 21 16 33 54 276 Enterography F 150

Click to enlarge.

Left: Mesenteric stranding. Right: Extraluminal gas.


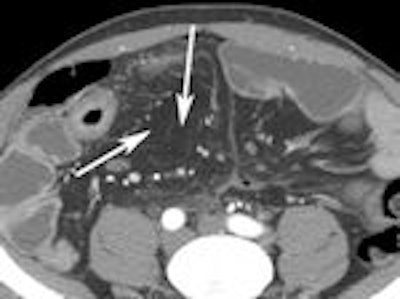
','dvPres', 'clsTopBtn', 'true' );" >2011 10 21 16 33 51 355 Enterography G 150 Lymph node enlargement. Lymph node enlargement, recognized by the abnormal soft-tissue masses, measuring at least 1 cm, in the mesentery. Image provided by PDR Higgins; reprinted with permission of Wiley Interscience.','dvPres', 'clsTopBtn', 'true' );" >2011 10 21 16 33 51 679 Enterography H 150

Click to enlarge.

Left: Fatty proliferation. Right: Lymph node enlargement.


','dvPres', 'clsTopBtn', 'true' );" >2011 10 21 16 33 50 613 Enterography I 150 Bowel fat, recognized by crescentic low attenuation in the bowel wall, indicating fat (unlike mesenteric fat, this finding is adjacent to the bowel mucosa and is confined to the bowel wall). Image provided by PDR Higgins; reprinted with permission of Wiley Interscience.','dvPres', 'clsTopBtn', 'true' );" >2011 10 21 16 33 48 275 Enterography J 150

Click to enlarge.

Left: Feces sign. Right: Bowel fat.

Page 1 of 197
Next Page