
South Korean artificial intelligence (AI) developer Vuno has signed a deal with Korean technology giant Samsung Electronics to offer its AI algorithms on Samsung mobile x-ray machines.
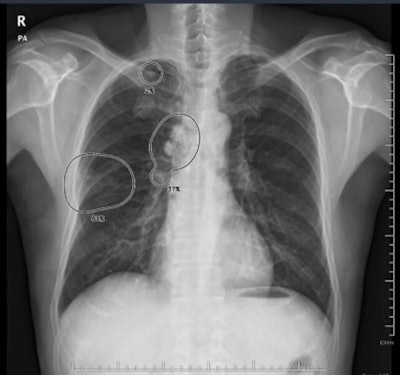
Vuno's AI-powered algorithm Vuno Med-Chest x-ray will be embedded on Samsung's GM85 mobile x-ray system. The software detects and flags suspected chest abnormalities that may be indicators of pulmonary diseases, including tuberculosis and pneumonia.

By integrating AI with mobile x-ray, users of the integrated system will be able to realize the benefits of AI at the patient's bedside, while the patient is still in the hospital.
The integrated system is scheduled to debut in South Korea and other global markets later in 2021.