
The volume of cardiac procedures in the U.S. continues to rise each year, and healthcare facilities are expanding their services to accommodate the growth. In turn, institutions are ramping up their investment in cardiac PACS technology.
In recent reports, market research firm IMV Medical Information Division found that vascular and cardiac procedures accounted for 5% of an estimated 50.1 million CT procedures in 2003, a gain of 37% over 2002. An estimated 11.5 million echocardiography procedures were performed in 2004 in a survey of 3,155 sites, which included hospitals with 100 beds or more and some 400 cardiology practices.
Cath lab procedures also rose by 17% to 2.85 million from 1998 to 2002. Of the total procedures during that four-year span, 89% or 3.4 million cases were cardiac-related. With the increase in volume, 92% of cath labs have also enhanced their abilities to store patient images and information electronically and digitally, according to IMV of Des Plaines, IL.
More networks, studies
The use of image archiving with cardiac PACS running parallel with radiology PACS also has become more prevalent among hospitals with cardiac services.
One such organization is Alegent Health, which has a cardiology PACS that covers its five hospitals in the greater Omaha, NE, region, including its two largest facilities, Bergan Mercy Medical Center and Immanuel Medical Center. The cardiac PACS server resides at Immanuel.
The cardiology PACS, a KinetDx system from Siemens Medical Solutions, initially was installed in February 2004 at Bergan Mercy, followed by Immanuel in April of last year. The remaining three sites were connected by January 2005. There are 18 KinetDx workstations across the five sites.
Alegent averages 300 cardiac studies per week, and that number is expected to rise as the facilities accommodate more demand for cardiac-related diagnosis and care, according to Jeff Bro, Alegent's cardiology information technology administrator. As of late August, more than 11,300 new cardiology and cardiovascular studies had been archived on the PACS network this year.
One benefit of a cardiac PACS is its ability to accommodate dynamic images, such as echocardiography, which acquires moving heartbeat images over time, as opposed to static images.
"You also have to have the ability to acquire a set of consistent measurements," Bro said. "There needs to be 2D and Doppler measurements during an echocardiogram. Structured reporting also is in place to take advantage of those measurements and quantify them to make a diagnosis."
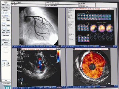
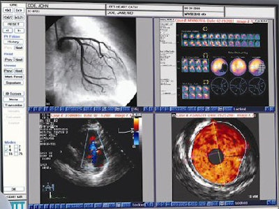
![]() |
| Click here to enlarge this image. |
| Cardiology PACS can accommodate dynamic images such as echocardiography exams. Image courtesy of Siemens Medical Solutions. |
Alegent has hastened its report turnaround time by an average of eight hours by eliminating the need for dictation, transcription time, and the potential for mistakes and redos, Bro said. The cardiac or cardiovascular studies are acquired and downloaded to the cardiac PACS, where echo and vascular technicians craft the preliminary report.
The cardiologist reviews the report and images at a workstation, and finalizes the report with his or her diagnosis. Throughout the five-hospital system, cardiologists and referring physicians have access to the report and images.
Currently, the cardiac PACS is used exclusively for ultrasound, echocardiogram, and x-ray images from Alegent's cath labs.
"The cath lab studies are on the order of 250 MB, which is what we have planned for per study," Bro said.
Alegent's cardiac and radiology PACS are administered separately by the radiology PACS staff across the whole system and share the same storage area network (SAN). Although they operate in parallel, the respective storage areas -- 500 GB for the cardiac PACS, with plans to expand the scalable system in the coming months -- are segregated.
When cath lab studies reach the cardiology PACS, they are automatically routed to the radiology PACS server, so cardiovascular surgeons can view images on that system's Web browser.
Cardiac PACS is also kept separate at the Cleveland Clinic in Ohio, in part, because of the different clinical roles of radiologists and cardiologists. A radiologist's primary function is to provide a one-time diagnosis, while a cardiologist's responsibility is diagnosis and longer-term, follow-up treatment and therapy.
"You could argue that a radiologist's need for longitudinal analysis of diagnostic data is less than it would be for a cardiologist, who may see that patient over and over again throughout the year," said Robert Cecil, Ph.D., the Cleveland Clinic Foundation's network director of radiology and cardiology.
Still, radiologists and cardiologists are seeing more common ground -- as evidenced in the IMV report -- with the advent of multislice CT and MR to help diagnose heart problems and provide additional patient information in the subsequent triage of cardiac care.
![]() |
| Click here to enlarge this image. |
| Quantification of a 3D echocardiography study. Image courtesy of Philips Medical Systems. |
Voluminous data
As for the larger datasets that multislice CT and MR would produce and that would be stored on a cardiac PACS, Cecil noted that the storage space required for 2 million radiology exams times 50 MB per exam would be comparable to 200,000 cardiology exams with an average file size of 500 MB.
"The total volume of data from radiology and cardiology is arguably close to the same; it is just grouped differently," Cecil said. "If the network can handle the radiology volume, it can certainly handle the cardiology volume."
Even with the disparity in image sizes, timely image access should not be a major issue for a cardiac PACS, he said. The largest portion of radiology PACS is what Cecil described as "push systems," whereby a server sends the data to a workstation through routing and prefetching criteria, and prestages the data for physicians or radiologists to view before they have arrived.
Because of the larger file sizes, the cardiac PACS (from Philips Medical Systems) streams data from a server as a physician or cardiologist wants to see the images.
"Instead of trying to predict which workstation the physicians will sit at in advance and do some routing to store the data at the desktop, the system stores the data on the server and streams the data on request," Cecil said.
The ability to integrate image sets and other critical patient information is seen as a key step in enhancing the workflow for cardiologists to complete their diagnostic evaluations at CJW Medical Center in Richmond, VA. The facility is in the process of creating an integrated cardiovascular information system (CVIS) for structured reporting and integration of physiological waveforms and other key patient data.
CJW's cardiovascular PACS currently handles some 8,000 cardiac procedures per year from five cath labs. The facility utilizes GE Healthcare's Centricity PACS to accommodate cardiac images from the cath labs, all of which are equipped with GE's Innova systems.
"For us, ultimately the goal is the structured reporting piece, which ties together all the modalities in a single environment for our cardiologists to make the appropriate diagnosis, the appropriate decisions for treatment options, and to complete the business information for the hospital," said Patrick Cambras, CJW's invasive cardiovascular service director. "The workflow then becomes much more improved and expedites the process."
![]() |
| Integrating image datasets and other critical patient information yields worfklow gains for cardiologists. Image courtesy of GE Healthcare. |
The CVIS integration into the PACS is expected to be completed by the middle of 2006.
"The more important piece is the distributed access," Cambras said. "Even with a slight decrease, performance of access time to images -- going from a local system to a network-distributed system -- is a little bit slower, but the distributed network has unlimited availability."
The size of the cardiac images has not caused any transmission issues at Banner Estrella Medical Center in Phoenix, though the facility is keeping an eye toward future expansion. The 178-bed hospital, which opened this past January, handles approximately six patients per day in two cardiac rooms and one suite for special cardiac procedures.
The facility employs Witt Biomedical's Calysto for Cardiology software and DICOM recorder to access files. Cardiologists and physicians are able to view cardiac images by using the cardiology information and image management technology, said Tami Kessler, Banner Estrella's clinical manager of interventional cardiology and special procedures.
![]() |
| Ready access to images and data is a valuable benefit to cardiology PACS technology. Image courtesy of Witt Biomedical. |
Access to patient cardiac images is automatic, regardless of which vendor's medical imaging systems the information is derived, on the Synapse PACS from Fujifilm Medical Systems USA. The PACS is based 12 miles away at Banner Good Samaritan Medical Center, also in Phoenix.
Kessler said the campus has room to eventually grow to 600 beds, as demand dictates.
"Cardiac cases require much more space than special procedures," she said. "When we first designed the hospital, I don't think that (issue) was appreciated as much as it should have been. It is not inhibiting our workflow right now, but it is an issue for the future."
Integrating systems
To what degree a radiology PACS and cardiology PACS should be integrated is up for debate. While the IT discussion has centered on whether bigger is better and how to manage the two systems most efficiently, the discussion is often devoid of how to optimize the clinical criteria to care for the patients, Cecil said.
"Depending how hospital budgets are run, clearly the doctors will want the best clinical care," he said. "The IT people will want the system with the highest uptime and least maintenance and least installation headaches. While those are not necessarily contradictory, they are not 100% congruent either."
Alegent's Bro said that users at the five Omaha facilities have become quite comfortable with the cardiac PACS, and one physician's group has asked about leasing space to store images on the system.
"That tells me that they like it well enough that they want to adopt it for their own purposes," he said. "One doctor said, after using the cardiac PACS, 'Don't ever put another tape on my desk again.'"
By Wayne Forrest
AuntMinnie.com contributing writer
September 22, 2005
Related Reading
Many skills needed for cardiology PACS administrator role, April 25, 2005
Diagnostic imaging and clinical information systems: An integration primer, April 14, 2005
Planning mitigates PACS data migration, March 21, 2005
PACS improves care, builds interhospital relationships, March 14, 2005
PACS administrator role requires planning, vigilance, March 11, 2005
Copyright © 2005 AuntMinnie.com























