Higher muscle mass and a lower visceral fat-to-muscle ratio translate to a younger brain age, according to research to be presented at the RSNA meeting.
A team led by Cyrus Raji, MD, PhD, of Washington University School of Medicine in St. Louis, MO, reported that "increased muscle mass is related to lower chronological and brain age while visceral fat normalized to muscle volume is related to increased chronological and brain age."
"[Our study suggests that] improving muscle mass and reducing visceral fat may improve brain aging," the group noted.
Structural MRI scans can estimate an individual's brain age, while body MRI can track muscle mass -- which can serve as a "surrogate marker for various interventions to reduce frailty and improve brain health," Raji and colleagues explained. Additionally, brain age predicted by structural brain images can lend insight to Alzheimer's disease risk factors, which may include muscle loss.
"Healthier bodies with more muscle mass and less hidden belly fat are more likely to have healthier, youthful brains," Raji said in an RSNA statement. "Better brain health, in turn, lowers the risk for future brain diseases, such as Alzheimer's."
Raji's group conducted a study that included 1,164 healthy individuals (mean age, 55 years) who underwent whole-body MRI. The team then used an AI algorithm to quantify total normalized muscle volume, hidden belly fat, fat under the skin, and brain age.
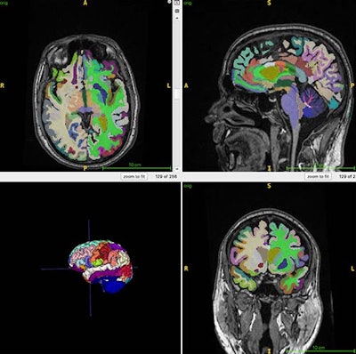
This color-coded brain figure shows an example of segmented regional volumes obtained from the 3D T1 volumetric MRI scans used for the artificial intelligence (AI) computations of brain age used in this study.RSNA
The investigators' key finding was that a higher visceral fat-to-muscle ratio indicated a higher brain age. Subcutaneous fat showed no significant association with brain age, they wrote.
"The participants with more muscle tended to have younger-looking brains, while those with more hidden belly fat relative to their muscle had older-looking brains," Raji said.
He noted that building muscle and reducing visceral fat are "actionable goals," and that this research "demonstrates how body and brain health are closely linked." He also suggested that the study findings could "inform the design of future therapeutics, such as GLP-1 medications that target visceral fat more than subcutaneous fat and minimize muscle loss."
"Losing fat -- especially visceral fat -- while preserving muscle volume would have the best benefit on brain aging and brain health based on insights from our work," he said.


















