Rheumatic Fever
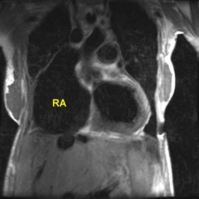
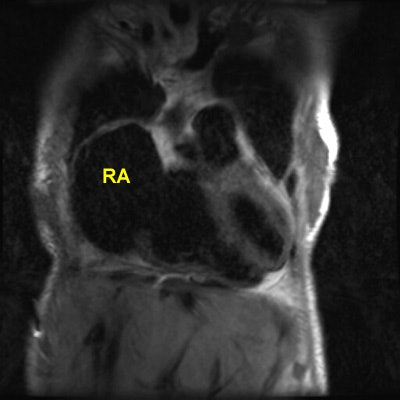
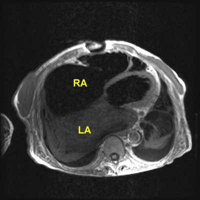
The patient shown below had a long history of valvular heart disease secondary to rheumatic fever. Both mitral and tricuspid valves were involved. There is massive right atrial (RA) dilatation. The left atrium is also massively dilated. Increased signal within the left atrium is related to slow flow.









