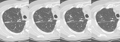
Reactivation TB with a "tree-in-bud" appearance
In TB infection the "tree-in-bud" appearance seen here in the right upper lobe correlates with filling of the bronchioles by casseous material and peribronchial extension of the inflammatory process.

In TB infection the "tree-in-bud" appearance seen here in the right upper lobe correlates with filling of the bronchioles by casseous material and peribronchial extension of the inflammatory process.
