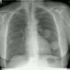
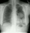
Benign Metastasizing Leiomyoma:
The patient shown in the radiographs below is a 69 year old female with a remote history of hysterectomy for uterine fibroids. One film is from 1992, the other from 1997. Interestingly, the lesions have grown slightly over the 5 year period between the two exams- in this case, the growth is felt to be related to the patients estrogen replacement therapy.
1992: 

(Click on small images to view larger radiographs)



