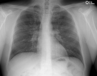
Subtle Cystic Fibrosis:
The 26 year old patient with cystic fibrosis shown in the chest radiograph below demonstrates only subtle findings of the disease. Peribronchial cuffing is identified about the right central bronchi and mild bronchial thickening is seen in the right upper lobe. Some branching shadows are also note in the right upper lobe. Less severe changes are noted in the left upper lobe.




