Tularemia:
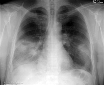
The patient was an itinerant homeless male who had killed and skinned a wild rabbit. During the skinning, the patient had cut his hand. The patient subsequently presented with fever, cough, and some shortness of breath. The patient denied any history of painful adenopathy, although enlarged axillary nodes were detected on physical exam. The chest radiograph demonstrated bilateral lower lobe infiltrates and bilateral effusions which were found to be exudative.






