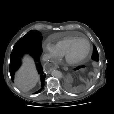
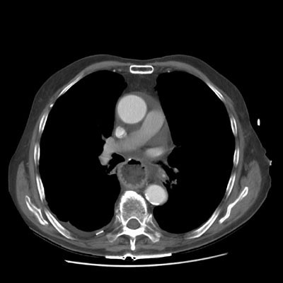
Pericardial effusion:
The exam below demonstrates a low density pericardial fluid collection. The effusion can be seen to extend into the pericardial recesses anterior to the ascedning aorta and the area posterior to the pulmonary outflow tract (anterior to the left upper lobe pulmonary vein). The patient has had a prior gastric pull-through procedure.







