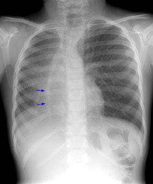
Scimitar Syndrome:
In Scimitar syndrome the heart and mediastinum are shifted towards the involved side (dextropositioning of the heart in this case) due to the pulmonary hypoplasia. There is compensatory overexpansion of the opposite lung. The thoracic cage is smaller on the affected side with approximation of the ribs, although this may not be evident at birth. The anomalous draining vein produces a curvilinear vascular shadow which courses towards the hemidiaphragm and has the appearance of a Turkish sword (or scimitar- blue arrows). A retrosternal opacity may be seen on the lateral exam (yellow arrows). This density has previously been erroneously ascribed to extrapleural areolar tissue anterior to the visceral pleura of the right lung. In actuality, this density is produced by the interface of the displaced mediastinum with the aerated, small right lung.Click on small images to enlarge





