Top Story
Cases of the Week
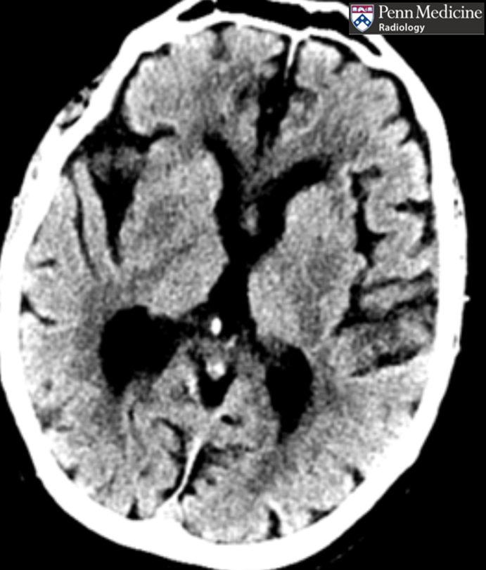
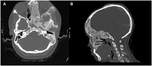
Check out our Cases of the Week!
Podcast Network
The Wedding Was Easy. The Marriage Is the Work.
Sustained performance, not implementation, defines a true technology partner — and most fall short after go-live.
Read More
More from AuntMinnie






















