
Extracolonic findings can be good or bad, satisfying or unnerving, obvious to the reader or impossible to see without contrast, which is how virtual colonoscopy is usually performed. Finding an unexpected cancer or aortic aneurysm can save a patient's life, but a potential downside is always lurking on the road to follow-up and intervention.
So what should radiologists do about extracolonic findings in VC? Look for them by all means and tell the patient what you find, according to a recent talk by Dr. Mark Klein, a radiologist at Washington Radiology Associates in Washington, DC.
"They'll all tell you, 'If you see it, I want to know what it is.' They'll be angry if you know but don't tell them what it is, and they'll be really angry if you could know but you don't look," Klein said at the International Symposium on Virtual Colonoscopy in Boston earlier this month.
The issue of extracolonic findings is a "pesky double-edged sword," he said. The good news is that studies show virtual colonoscopy reveals significant extracolonic lesions in anywhere from 4% to 23% of patients depending on clinical risk. The bad news is that some of these lesions will turn out to be insignificant. Money will be spent, and morbidity and mortality will occur from follow-up and therapy, he said.
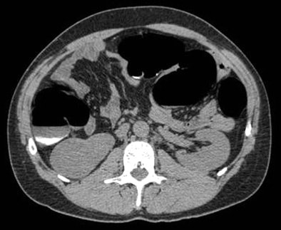
![]() |
| A 52-year-old asymptomatic male underwent screening virtual colonoscopy with completly negative results in the colon. Examining the kidneys, the radiologist found a 5-cm mass that was later diagnosed as renal cell carcinoma. Image courtesy of Dr. Mark Klein. |
Of course radiologists aren't looking for insignificant findings, but rather "large lesions for which you can actualy make a difference," Klein said. These include worrisome renal masses, aortic aneurysms, solitary pulmonary nodules, lymphadenopathy, indeterminate renal masses, hydronephrosis, lesions of diffuse liver disease, and bone lesions.
"As for (finding) metastases, some would argue that it might be too late -- but at least in some cases they're treatable. Pulmonary nodules are sometimes a good thing, sometimes a bad thing," Klein said.
Knowing about moderately important findings such as gallstones and renal calculi can also be helpful. But detecting insignificant abnormalities -- for example hemangiomas, hiatal or inguinal hernias, and small pulmonary nodules -- yields no medical benefit, he said.
The studies so far
Studies to date show that VC will turn up significant lesions in as many as a quarter of all VC patients, depending on clinical risk. Among the studies:
Hara et al examined 264 patients with VC, found 11% highly important findings, and estimated an additional cost of $28 per study for follow-up of significant findings (Radiology, May 2000, Vol. 215:2, pp. 353-357).
Edwards and colleagues studied 100 patients, 15% of whom had extracolonic findings (American Journal of Roentgenology, October 2001, Vol. 96:10, pp. 3009-12).
Gluecker et al examined 681 patients; 69% had extracolonic findings, 10% of which were of high clinical importance. Follow-up exams added $34 per study (Gastroenterology, April 2003, Vol. 124:4, pp. 911-916).
Rajapaksa and colleagues saw extracolonic findings in 33.2% of 250 patients, 12.5% of which were highly significant, with an additional cost of $28 per VC study for follow-up (Journal of Clinical Gastroenterology, October 2004, Vol. 38:9, pp. 767-771).
Yee et al studied 500 men at a U.S. Veterans Affairs facility. There were extracolonic findings in 63%, 14% of which were clinically important, and 78% of which had not been identified previously. Follow-up costs added $28 per VC study (Radiology, August 2005, Vol. 236:3, pp. 519-526).
Iafrate and his group in Rome found that symptomatic patients were no more likely to have extracolonic findings than asymptomatic ones. In all, 59% of patients had extracolonic findings, 16% of which were clinically significant (European Congress of Radiology, March 2005).
Xiong et al studied 225 patients with VC; 116 or 53% had extracolonic findings. The group included the cost of therapy as well as follow-up, which together added $279 to each exam. (British Journal of Radiology, July 5, 2006).
Pickhardt et al reported earlier this year that most highly significant findings turn out to be insignificant. Only 4% to 6% of patients had clinically significant findings, with unsuspected cancers found in approximately 0.5% (American Journal of Roentgenology, March 2006, Vol. 186:3, pp. 718-28).
"Regardless of whether extracolonic evaluation resulting from (VC) screening is viewed as a net benefit or liability, it is an unavoidable responsibility that must be handled with care by the interpreting radiologist," Pickhardt and colleagues wrote in AJR.
"We can't get away from it," Klein said. "It's something we have to deal with."
Meanwhile radiology keeps getting tougher. "Every day we we look at hundreds and hundreds of images, and there's a mistake we made around every corner," he said.
Looking for extracolonic lesions without contrast "is like trying to find out what the noise is coming from outside your house by looking through a peephole in the door instead of opening the door, which is what we do when we do a true (contrast-enhanced) CT of the abdomen/pelvis."
Also, in VC the distended colon can displace the surrounding organs, making it difficult to see extracolonic pathology, particularly in thin patients.
The difficulty of finding lesions "does have advantages in turf issues because most gastroenterologists aren't going to want to deal with (extracolonic findings), and I don't blame them," Klein said. "It's something they're not trained to do, and they don't want to take the liability."
The radiologist's job
Virtual colonoscopy will produce important extracolonic findings, and other abnormalities that might have been better left undetected. And this screening dilemma, whether it's a whole-body CT scan or VC, the "poor man's abdominal screening exam" according to Klein, affects at least three parties: the patient, the radiologist, and potentially the patient's lawyer.
Patients must be told of findings, both for ethical reasons and to avoid their feeling betrayed by a radiologist who stays mum. Fortunately, patients are capable of making informed decisions about follow-up, Klein said.
"Patients understand they may have unnecessary surgery, and that it could be dangerous and it could be costly," Klein said. "But most patients are scared to death that they have cancer.... They believe (follow-up) is their decision, not yours, and in an educated society they do have a point."
Educating the patient is also part of the radiologist's job. Carefully explain to patients that VC without contrast has limited value in the diagnosis of extracolonic findings, and manage their expectations, Klein said.
Lawyers love missed findings "because it's just another well to tap when things run dry," he said. "There are a lot of people making a lot of money suing radiologists for missing breast cancers. And once they get wise to (VC), they're going to say, 'Well, you have this raw dataset -- I'll bet I can find somebody to tell me that little renal call cancer was on it.' This is the world we live in...."
Radiologists are responsible for extracolonic findings, and they are responsible for telling patients what they find, Klein said. Inevitably, there will be lifesaving finds, follow-ups that turn out badly, and extracolonic lesions missed.
If you read image data, you will make mistakes, so don't testify against a colleague who misses a lesion, Klein said.
"It is not inconsequential when you create a lawsuit or help move a lawsuit forward," he said. "It means that tomorrow all of your colleagues will order a test they don't want to order. Defensive medicine has a cost, and not just in terms of dollars. When we put patients through additional tests, additional surgeries and procedures, bad things happen sometimes and not only to others. I would ask you all to consider this before you try to pull the trigger on a missed lesion on nonenhanced CT for VC."
By Eric Barnes
AuntMinnie.com staff writer
October 30, 2006
Related Reading
Extracolonic findings double VC costs, but might be worth paying, July 20, 2006
Serious extracolonic findings prevalent in screening, symptomatic VC patients, August 17, 2005
VC shows extracolonic findings in most patients, July 28, 2005
VC with contrast finds more extracolonic trouble, April 11, 2005
Panoply of VC studies yields significant extracolonic findings, March 23, 2005
Copyright © 2006 AuntMinnie.com





















