
One of the largest studies to date of asymptomatic virtual colonoscopy screening subjects found critical extracolonic findings in almost 3% of the patients, adding about $138 to the cost of screening for each patient.
Lead investigator Dr. Meghan Hanson, from the University of Wisconsin in Madison, and colleagues scrutinized Medicare and private-practice billing records for each of the 2,195 individuals screened in the study.
"At the University of Wisconsin, we have third-party payor coverage, so we do approximately 40-50 screening CTCs (CT colonography or virtual colonoscopy [VC]) a week," she said in a presentation at the 2006 RSNA meeting in Chicago.
Hanson's co-investigators were Drs. Perry J. Pickhardt, David Kim, Andrew Taylor, and David Vanness.
"By its nature, (VC) includes unavoidable but limited imaging evaluation of extracolonic structures in the abdomen," with potentially important implications for screening asymptomatic adults, Hanson said. The prospective review of extracolonic findings was undertaken to assess "what potentially important disease was seen, what workup was generated by this disease, what disease was discovered, and what the cost of imaging and diagnostic workup was."
The study group consisted of 2,195 consecutive adults (1,199 women and 996 men; mean age 58) who underwent primary virtual colonoscopy evaluation.
The prospective evaluation for extracolonic CT findings was performed using contiguous 5-mm reconstructions of the noncontrast supine VC data.
The estimated costs of diagnostic workup were based on Medicare reimbursement rates. A review of medical records for all 2,195 subjects was performed to document any additional workup generated from extracolonic findings, including Hanson's extensive review of records from the University of Wisconsin, the William S. Middleton Memorial Veterans Hospital, and a large private-practice group in Madison.
Costs were divided into inpatient and non-inpatient categories:
Inpatient surgical costs
- Professional fee -- Medicare physician fee file
- Technical fee -- Medicare average inpatient hospital prospective payment for the diagnosis-related group (DRG)
Non-inpatient procedures (CT, MRI, etc.)
- Assumed to be conducted in hospital outpatient setting
- Professional/technical fees based on CPT code
"We monitored all extracolonic evaluations to determine if further recommended workup was performed, and also to determine if nonrecommended workup was performed," Hanson said. The mean and minimum follow-up intervals were 541 and 190 days, respectively.
The results showed a large amount of gynopathology, Hanson said. Ultrasound (n = 67), CT (n = 61), MR (n = 11), PET, chest x-rays, and red blood cell counts were commonly ordered. "There were 22 surgeries and 18 nonsurgical invasive procedures, including CT- and ultrasound-guided biopsies," she said.
"We found 189 patients (75 men, 114 women) with extracolonic findings that were deemed to be at least moderately or potentially significant, Hanson said. "This was 8.6% of our screening cohort. There were more women than men with potentially important findings, primarily because of gynopathology."
The mean age of patients with findings was 58.2 years, the same as the age of the cohort overall. Significant findings included three renal cell carcinomas, three lymphomas, and one bronchial adenocarcinoma, she said. (The lower lung is included in VC imaging to capture the entire colon.)
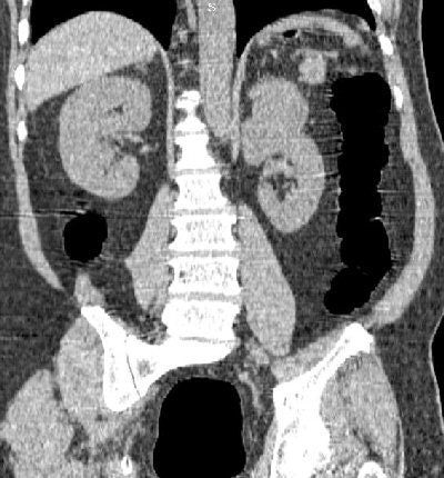
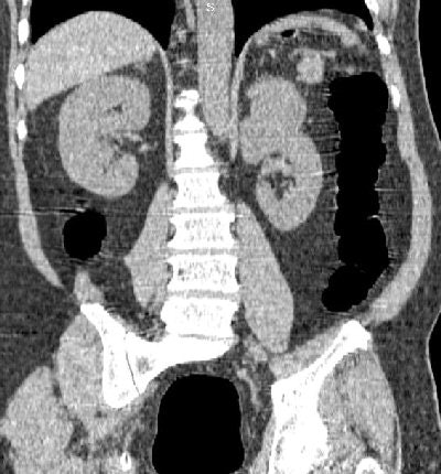
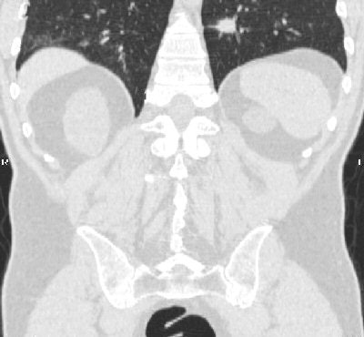
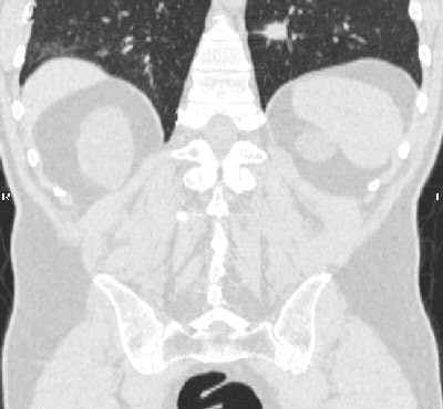
![]() |
| A renal cell carcinoma (above) and a lung adenocarcinoma (below) are detected at screening VC of asymptomatic subjects. All images courtesy of Dr. Perry Pickhardt. |
![]() |
There were eight previously unknown arterial aneurysms, and seven patients with gallbladder or kidney disease. Twelve arterial aneurysms, including eight aortic aneurysms, were found. Obstructing urolithiasis was seen in three patients, obstructing urolithiasis in three, porcelain gallbladder in two, and one case of autosomal dominant polycystic kidney disease.
Incidental asymptomatic findings of little or no clinical importance included incidental cholelithiasis in 145 patients (6.6%) and nephrolithiasis in 186 (8.5%) patients. Benign-appearing hepatic and renal lesions that did not require further evaluation were frequent.
"Interestingly, patients with positive extracolonic findings were also more likely to have polyps greater than 6 mm," Hanson said. Thirty-three patients (17.6%) with extracolonic findings also had positive findings at virtual colonoscopy, compared to 12% of the screening group overall.
Further workup was recommended or suggested by radiologists in 157 patients (7.2%). The actual diagnostic workup performed included 134 patients (6.1%) who received recommended studies, and 18 patients who underwent unnecessary diagnostic workup. No complications were seen in any additional workup.
The cost of noninvasive studies added $23.38 per VC exam. The invasive procedures added $77.93 per VC exam, including 77.93 per VC exam for inpatient surgeries. The follow-up costs included imaging, diagnostic workup, and surgery, but not ongoing treatments such as radiotherapy, she noted.
It is important to note that 10 of those surgeries were nephrectomies that cost nearly as much as all of the noninvasive studies combined, Hanson said. Gynopathology was another expensive finding; laparoscopic salpingo-oophorectomies alone accounted for $21.68 per VC.
"In a large screening population at the University of Wisconsin, it's not rare to see unsuspected noninvasive extracolonic pathology," she said. "It's not clear if it's an advantage or a detriment to see these things. However, it's important for radiologists to handle these findings appropriately so that the frequency and cost of additional workup is low."
The low frequency of additional diagnostic workup (less than 5%) for extracolonic findings at screening VC suggests that the technique is cost-effective as a screening tool, the researchers wrote in their abstract.
By Eric Barnes
AuntMinnie.com staff writer
December 18, 2006
Related Reading
Higher costs seen in post-VC extracolonic follow-up, November 3, 2006
Extracolonic lesions: Find them if you can, October 30, 2006
Extracolonic findings double VC costs, but might be worth paying, July 20, 2006
Serious extracolonic findings prevalent in screening, symptomatic VC patients, August 17, 2005
VC shows extracolonic findings in most patients, July 28, 2005
Copyright © 2006 AuntMinnie.com





















