
Radiologists could save time, money, unnecessary scans, and probably some missed diagnoses by handing out straight E's to the old ways of scanning the neck.
For maximizing airflow and air contrast, having patients say "eee," audibly, during MDCT acquisition really opens up the airways, optimizing the visualization of mucosa while imaging the larynx, pharynx, and the rest of the neck, according to researchers from Vanderbilt University in Nashville, TN.
With a 64-slice CT scanner, neck CT scan time is down to about eight seconds. Nearly everyone can hold their breath for that long, said Dr. Megan Strother, who tested this and other hypotheses on her audience at Stanford University's 2007 International Symposium on Multidetector-Row CT in San Francisco.
Holding the breath without making the "eee" face causes problems for airway imaging, she said.
"Sometimes what happens during breath-holding is that you actually do a Valsalva maneuver if you bear down on your glottus -- and that's exactly what we don't want to do when we're trying to image that area, because the airway just collapses," she said. And if the resulting scan is nondiagnostic, more will be needed.
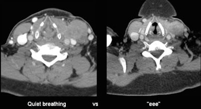
![]() |
| In a patient with a history of superglottal squamous cell carcinoma, CT images acquired with a modified Valsalva breath-hold maneuver (left) closed the airway, leaving the radiologists unable to rule out a pyriform sinus mass. At right, CT acquired with the "eee" phonation showed there was no tumor. Had the "eee" technique been used initially, the PET exam (far right) would have been unnecessary. All images courtesy of Dr. Megan Strother. |
For example, in a patient with a history of squamous cell carcinoma, using the "eee" technique during the scan would have rendered PET unnecessary to rule out a pyriform sinus mass. The patient whose CT images were acquired with a modified Valsalva technique showed suspiciously asymmetric soft tissue in the region, Strother said. The group ordered PET, and eventually acquired the images again with MDCT using the "eee" technique and a breath-hold, which depicted the anatomy clearly.
"Several thousand dollars later you've got a normal PET and everybody breathes better," Strother said. "The point is we would have hoped to bypass the PET scan."
Just say 'eee'
Strother emphasized that it wasn't her group that came up with the long vowel "eee"-dea. As far back as 1987, "eee" was the subject of its own study. But recent testing at her institution suggests that the secondary phonation technique is a great match with the institution's 64-slice scanner, she said.
In the 1987 study, Rubesin et al wrote about the importance of phonation in contrast pharyngography. The authors recommended the "eee" technique for pharyngography (American Journal of Roentgenology, February 1987, Vol. 148:2, pp. 269-272).
Puffed cheeks and modified Valsalva
The so-called "puffed cheek" maneuver can do some of what "eee" can do, Strother said, but it's difficult for the patients to understand and perform.
"For this technique you put air in your oral cavity, puff out your cheeks, and blow through pursed lips," Strother said. "I think this is really tricky: hard to explain, hard to get patients to comply with, and you have no sense of whether they're doing it or not," she said. "They're ... in the scanner and you can't tell what's going on. It does open up what you need to see, but I think it's just too difficult to ask the patients to do."
Its main advantage is the ability to separate the buccal from the gingeval mucosa, but potential applications are limited, Strother said.
In a 1992 study, Suojanen and colleagues scanned 21 patients using the puffed-cheek maneuver combined with a breath-hold. However, on a four-detector scanner the scans lasted 24-36 seconds, and only half of the patients were able to comply, Strother said of the study (Radiology, April 1992, Vol. 183:1, pp. 281-283).
The modified Valsalva is similar to the puffed-cheek technique, but requires a breath-hold and skips the puffed cheeks. The maneuver opens up the glottis, hypopharynx, and nasopharynx, but like the puffed cheek move, it's difficult to perform and teach.
![]() |
![]() |
Researchers have also examined the modified Valsalva technique with four-slice MDCT, including Lell and colleagues, who scanned 40 patients with tumors of larynx or hypopharynx (European Radiology, December 2004, Vol. 14:12, pp. 2,198-2,205).
"They went through the first acquisition with quiet breathing, and did supplemental scans through the larynx with 'eee' (versus) the modified Valsalva method, and again they recommended 'eee' (with quiet breathing)," Strother said.
At Vanderbilt University Medical Center, the group has examined 20 patients using "eee" and a modified Valsalva maneuver. The results show a clear advantage for "eee."
"We're looking at this with our 64-slice scanner, and we really feel that we can move toward just doing it in our scanner in (a single) position and it's much easier," she said. So far the "eee" maneuver combined with a standard protocol appears to work well for everyone.
"We have abandoned the modified Valsalva because it was too difficult to coach the patients, and we wanted a single technique that would not require individual protocol," Strother told AuntMinnie.com.
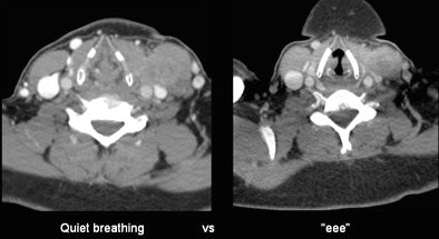
With the "eee" maneuver, the pyriform sinuses are uniformly well-distended, whereas the folds aren't separated using the modified Valsalva maneuver -- hiding a tumor in one example, Strother said. In another patient, small vocal cord lesions scanned using the "eee" technique could be seen because the cords were not completely apposed, as occurs with the modified Valsalva maneuver. In a third patient, the "eee" technique revealed a large squamous cell tumor that was not visualized with the modified Valsalva position.
![]() |
| Reconstructed images acquired with the "eee" technique demonstrate pyriform sinuses and apposed vocal cords in a squamous cell carcinoma patient imaged postchemotherapy. |
![]() |
| Using the "eee" technique at right, the laryngeal ventricle is filled with air in the same squamous cell carcinoma patient scanned postchemotherapy. |
"(Patients) should just say "eee," audibly, throughout the scan. They should not valsalva," Strother advised. ...If you don't have a fast scanner, get one, . Then start using the "eee" technique and "you won't have to protocol everything,"
By Eric Barnes
AuntMinnie.com staff writer
July 18, 2007
Related Reading
Humming as effective as the Valsalva maneuver for jugular vein visualization, July 13, 2007
CT, MRI show successful vocal cord restoration, May 10, 2007
MDCT answers most head and neck questions, November 18, 2005
MDCT protocols weighed for cancers of larynx, hypopharynx, November 3, 2004
PET/CT shows restaging power for head and neck tumors, March 30, 2004
Copyright © 2007 AuntMinnie.com
























