
The combination of CT, x-ray, and DNA testing confirmed that the novel coronavirus was transmitted from pregnant women to nearly 10% of newborns in a new study, published online March 26 in JAMA Pediatrics. The findings underscore the need for strict infection control measures for this vulnerable population.
Early investigations into the effect of SARS-CoV-2 infection on pregnant women have indicated that pregnancy and delivery do not aggravate COVID-19 pneumonia and reported no evidence suggestive of COVID-19 in infants born to affected mothers. For these prior studies, all amniotic flood, umbilical cord blood, and breast milk samples were negative for SARS-CoV-2, showing no sign that the novel coronavirus was capable of intrauterine or transplacental transmission from pregnant women to their fetuses.
Expanding upon this prior work, researchers from China examined the data of neonates born to mothers with COVID-19 at Wuhan Children's Hospital in January and February. The mothers were positive for SARS-CoV-2 on reverse transcription polymerase chain reaction (RT-PCR) testing.
Among 33 newborns, three were diagnosed with COVID-19, as confirmed by RT-PCR testing and either x-ray or CT.

"Because strict infection control and prevention procedures were implemented during the delivery, it is likely that the sources of SARS-CoV-2 in the neonates' upper respiratory tracts or anuses were maternal in origin," wrote the team, led by Dr. Wenhao Zhou, PhD, from Children's Hospital of Fudan University.
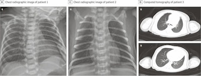
The first two newborns confirmed to have SARS-CoV-2 infection were born at around week 40 of gestation. Both infants had lethargy and fever on their second day of life, with chest x-rays showing pneumonia. Their RT-PCR tests were positive for SARS-CoV-2 on days 2 and 4 and negative on day 6.
The third newborn with COVID-19 was born after 31 weeks and two days of gestation. Chest CT showed pneumonia and neonatal respiratory distress syndrome, which resolved on day 14 after appropriate treatment. RT-PCR tests were positive for SARS-CoV-2 on days 2 and 4 and negative on day 7. The patient also had sepsis and required resuscitation after birth.
Although recent studies have not reported clinical findings suggestive of vertical maternal-fetal transmission of COVID-19, the process could not be ruled out for the current study cohort, the authors noted. Clinicians should be aware of possible neonatal early-onset infection from pregnant women with SARS-CoV-2.
"Therefore, it is crucial to screen pregnant women and implement strict infection control measures, quarantine of infected mothers, and close monitoring of neonates at risk of COVID-19," they concluded.