
More than three-quarters of chest CT findings in children with laboratory-confirmed COVID-19 disease are negative, according to a study published May 28 in the American Journal of Roentgenology.
The results cast doubt on whether chest CT is an effective tool for diagnosing and managing COVID-19 in pediatric patients, wrote a team led by Dr. Sharon Steinberger of Icahn School of Medicine at Mount Sinai in New York City.
"Our early study investigating pediatric patients with known [COVID-19] infection raises questions about the widespread utilization of chest CT in children," the group wrote. "Our findings show the limited sensitivity and poor negative predictive value of chest CT for the detection of suspected COVID-19 in children and highlight that normal chest CT findings do not exclude disease."
Although clinical and imaging features of COVID-19 in adults have been described in previous research, these features in children have not been documented as thoroughly, Steinberger and colleagues wrote.
"In comparison with adult patients, children present with milder symptoms and have lower hospitalization rates, making prompt diagnosis challenging," the group noted. "Rapid and accurate diagnosis in the pediatric population is especially important because there have been cases of severe symptoms and reported deaths among such patients. In addition, the social and psychologic implications of quarantining children and the economic impact on their caregivers must be considered."
The investigators reviewed CT findings and clinical symptoms in 30 children between the ages of 10 months and 18 years who were positive for COVID-19 disease via real-time reverse transcription polymerase chain reaction (RT-PCR) testing between January 23 and February 8 at six Chinese hospitals. None of the 30 children had comorbidities; nine had no symptoms when COVID-19 disease was confirmed by RT-PCR testing. Three readers interpreted the exams (two cardiothoracic radiologists and a cardiothoracic imaging fellow), scoring the level of the disease's lung involvement.
Steinberger and colleagues found that 77% of chest CT findings in the patient cohort were negative (23 of 30 children). Seven of the 30 patients had positive chest CT findings (as well as at least one clinical symptom on presentation); these findings were characterized by ground-glass opacities with peripheral distribution, the "crazy paving" pattern, and halo and reverse halo signs.
There were no pleural effusions or lymphadenopathy on chest CT in the patient cohort. Steinberger and colleagues noted that the severity of CT findings in the children increased with age. Of the 30 children, 11 (37%) underwent follow-up chest CT, and of those 11 exams, 10 (91%) showed no change.
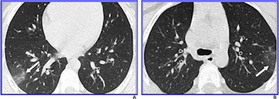
8-year-old boy with COVID-19. A and B, Unenhanced chest CT scans show minimal ground-glass opacification (right lower and left upper lobes) (arrows) and no consolidation. Only two lobes were affected, and CT findings were assigned a CT severity score of 2. Images courtesy of the American Journal of Roentgenology.The study demonstrates that negative findings on CT don't necessarily rule out COVID-19.
"The low incidence of CT examinations with positive findings and the low severity of disease on CT in pediatric patients in our study can be considered when weighing the benefits and limitations of CT in the evaluation of COVID-19 in the pediatric population," the group wrote.





















