
CT helped solve the case of a tourist who developed neurological impairment after a trip to Cuba, according to a September 8 report published in JAMA Neurology. The tourist's symptoms were remarkably similar to those of U.S. and Canadian diplomats who were suspected of being victims of a "sonic weapon" in 2016.
The 69-year-old woman had been feeling well during her trip to Cuba until about two hours before the flight back to the U.S. Just 30 minutes after eating a sandwich at the airport, she developed generalized weakness, sweating, and nausea. Soon after, she experienced lethargy, vomiting, and urinary incontinence.
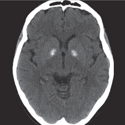
By the time the woman arrived in the U.S. she was stuporous and needed intubation. She was rushed to the hospital, where CT imaging revealed bilateral hyperdensity of the globus pallidi.

Further serological testing showed abnormal levels of creatinine, hemoglobin, and pH, and her plasma cholinesterase levels were consistent with cholinesterase inhibition. Serum toxicological analysis with mass spectrometry later revealed a trace of an organophosphate (OP)-based pesticide.
"The patient's toxicological evidence of insecticide poisoning and her delayed neurological dysfunction matched these recent reports and suggested acquired neurotoxicity secondary to OPs," wrote the authors, led by Dr. Yonatan Serlin, an internal medicine resident at McGill University.
Organophosphate pesticides are designed to treat mosquito-infested water. They work by disrupting acetylcholinesterase signaling in nerve cells, resulting in a pathological excess of acetylcholine. While insects are the target of the pesticides, adverse effects have been seen in humans exposed to the chemicals through food, skin, or the air.
Careful evaluation of the clustering of the woman's signs and symptoms helped clinicians uncover pesticides as a likely cause of her illness. One of those signs was the CT scan, which indicated senile calcifications of the globus pallidu. Other signs of acute cholinergic toxicity included depressed mental status, bradycardia, miosis, and twitching.
The patient's symptoms were similar to those of Canadian and American diplomats who experienced neurological deficiencies and other issues beginning around 2016. While the cause was originally suspected to be some kind of sonic weapon, a 2019 study instead pointed to pesticides as a likely catalyst.
"Cuba's mosquito control program relies on aggressive insecticide fumigation to mitigate Zika outbreaks," the authors wrote. "The patient was the only one in her travel group to purchase and consume a sandwich ... about 30 minutes before symptom onset."
The woman was well enough to be discharged from the hospital four days after admission. But like the diplomats, some of her neurological symptoms worsened over time.
At the patient's five-month follow-up visit, she showed signs of cognitive impairment, including impaired attention, executive function, memory, and decision-making. An MRI scan showed bilateral globus pallidi T2 hypointensities consistent with known calcifications.
The authors concluded that OP-induced neuropathy was a likely cause of the patient's late-onset symptoms. They warned clinicians to consider global health issues, such as the use of pesticides to prevent Zika, when evaluating travelers returning with illnesses.
"This case emphasizes the value of the physical examination and importance of considering the constellation of signs and symptoms in a returning traveler in light of contemporary global and environmental health issues," they wrote.