
Prospectively gated coronary CT angiography (CTA) performed well when scanning patients who were heavy or had high calcium scores, according to a study that tracked predictors of success with the low-dose technique. On the other hand, image quality dropped significantly when heart rates or heart rate variability was high.
Prospectively gated coronary CTA is a relatively new method of assessing the coronary arteries with CT angiography, but multiple studies have already shown the technique to be robust and reliable for most patients, according to Dr. James Earls, medical director of Fairfax Radiological Consultants in Fairfax, VA. Prospectively gated studies can be performed at a radiation dose of 5 mSv or less, with segment assessability approaching 100%.
"Compared with retrospectively gated CTA we're able to assess 95% to 99% of coronary artery segments [with prospective gating]; it has a similar image quality, it has similar accuracy for detection of stenosis in two recent studies compared to conventional angiography, and it has a 77% to 87% effective dose reduction compared to prior technique [retrospective gating]," Earls said in a presentation at the 2008 RNSA meeting in Chicago.
Prior studies have recommended that prospective gating be conducted with heart rates of 65-75 bpm, and heart rate variability of less than 10 bpm, to ensure good image quality with the technique, he said. For this study, the researchers aimed to determine the impact of heart rate and heart rate variability on image quality, and they also looked at whether demographic and clinical parameters might be useful for predicting image quality and segment assessability.
They reviewed a total of 1,625 coronary CTA exams performed on a 64-detector-row CT scanner (LightSpeed VCT XT, GE Healthcare, Chalfont St. Giles, U.K.) using a step-and-shoot prospective gating technique (SnapShot Pulse). The target RR interval was 75%.
Before the scans, patients were injected with 60-80 cc iodinated contrast media at 5 cc/sec, followed by a 50-cc saline flush. The researchers used between 0 and 200 msec (mean, 36 msec) of additional "tube on" time, or padding, Earls explained.
The mA varied between 350 and 800 (mean, 539 mA) based on the patient's body mass index (BMI) and other parameters; kVp were generally set at 120 (94% of patients), or 100 for certain smaller patients.
Clinical indications reflected those of the practice, with a predominance of men over women (mean age, 58 years), a mean BMI of 28, and 15% asymptomatic patients, Earls said. Twenty-seven percent of the patients presented with chest pain. Thirty-two percent had an abnormal myocardial perfusion exam, while 7% had an abnormal exercise stress exam.
Eighty-nine percent of patients received beta-blockers. "We tend to be heavy-handed with the use of beta-blockers," Earls said.
Heart rates were evaluated before the study, during the contrast timing bolus, and during the CTA acquisition. Calcium scores were also available in 1,278 patients. The assessability of each coronary artery segment (graded "yes" or "no") was recorded by an expert reader based on the 17-segment American Heart Association (AHA) model.
A subset of 300 cases was evaluated for image quality by three expert readers using a five-point Likert scale. Blinded to the clinical results, the readers subjectively assigned a score of 1 for nonassessable image quality and 5 for excellent image quality.
The mean effective dose was 2.85 mSv (± 1.43 mSv). Overall, 96.3% of coronary segments were rated assessable, and 97.4% of exams were diagnostic, Earls said.
The results showed no difference in assessability or image quality between symptomatic and nonsymptomatic patients, though there was a nonsignificant trend toward lower image quality and assessability as the patient's age increased, Earls said.
In fact, none of the demographic data, including age, sex, chief complaint, weight, or BMI, were predictors of assessability or image quality (p > 0.05). In the 300 cases evaluated for image quality, the mean score was 4.75 out of 5.0.
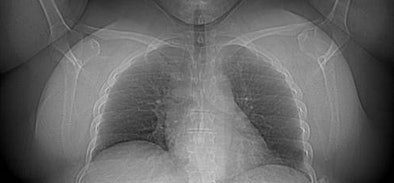
![]() |
| Heavy patients were scanned successfully. Scout image of a 56-year-old woman weighing 305 lb (BMI, 54) shows a large amount of subcutaneous fat. Despite substantial image noise, coronary CTA was diagnostic and all arteries were assessable and patent. Images were acquired at 800 mA, 120 kV, and an effective dose of 3.2 mSv. All images courtesy of Dr. James Earls. |
"There was a trending down of image quality as patients got to the 250 lb range and higher, and the percentage of nonassessable segments also increased as patients' overall weight increased; however, BMI turned out to be a more accurate predictor," he said. "When we calculated BMI in different patient groups, there was a trending down of image quality and an increase in nonassessable image segments in the higher BMI ranges."
![]() |
| BMI (above) was a better predictor of image quality and assessability than weight (below). |
![]() |
The mean calcium score was 245 ± 566. A significant negative impact on image quality alone was seen in patients with calcium scores of 800 or higher and BMI of 35 or higher.
![]() |
| High coronary calcium scores did not impede most diagnoses. Above, all 17 coronary artery segments were assessable at CTA in a 63-year-old man referred with abnormal myocardial perfusion, chest pain, and a calcium score of 3,215. Images were acquired at 650 mA, 120 kV, 50 msec padding, and an effective dose of 2.53 mSv. Conversely, three segments in the case below were not assessable in a 57-year-old man with a calcium score of 2,318 presenting with shortness of breath and chest pain. CTA was acquired at 750 mA, 120 kV, 75 msec padding, and an effective dose of 5.34 mSv. |
![]() |
The study found that high heart rates, high variability in heart rate, and very high calcium scores correlated with decreased assessability and image quality. Heart rate fluctuations greater than 8 bpm during the timing run or 7 bpm during the CTA acquisition correlated with decreased assessability and image quality.
Finally, significant effects were found in both image quality and segment assessability in patients with calcium scores of 1,200 or higher, heart rates higher than 65, and bpm variability greater than 10 bpm.
![]() |
| Image quality was significantly impacted at calcium scores > 800. Both image quality and assessability were affected at calcium scores > 1,200. |
"Image quality really dropped off after about 70 bpm, although the number of nonassessable segments went up after about 60 or 65 bpm," Earls noted.
![]() |
| Heart rates above 70 bpm and heart rate variability greater than 10 bpm significantly affected image quality and assessability. |
![]() |
Limitations of the study included its retrospective design and the fact that only one experienced reader graded assessability, whereas three readers evaluated image quality.
"Overall image quality was excellent with a mean of 4.7/5.0, and the assessability of 96.7% was excellent and in the range of previously published reports," Earls concluded. "The age, sex, chief complaint, and weight had no significant effect on image quality or assessability, although there were some trends."
Additionally, BMI greater than 35 significantly affected image quality. Calcium scores greater than 800, heart rate greater than 65 bpm, and heart rate variability greater than 10 bpm significantly affected both image quality and segment assessability.
An audience member asked if prospectively gated exams always targeted a 75% RR interval.
"We've always used 75, but we've started to shift that lower for higher heart rate patients," he said. "So if I have somebody in the 65-70 [bpm] range whom we still scan, we'll actually move our [RR interval] target down to 65 or 60, or in some cases even 50. The presence or absence of symptoms was not significant, the patient's age was not significant, and the patient's weight surprisingly was not significant."
But while BMI was clinically important to overall image quality, weight was not. The bottom line is that factors such as calcium score and BMI have nothing to do with prospective triggering, so there is no reason to avoid the technique when scanning heavier patients or those with coronary artery calcium, Earls said.
"The limitations for prospective gating are essentially the same as those for retrospective gating; image quality falls off with higher heart rates, high calcium loads, and higher variability," he said.
By Eric Barnes
AuntMinnie.com staff writer
February 27, 2009
Related Reading
320-detector-row CT cuts dose in triple rule-out exams, February 12, 2009
JAMA study finds wide variation in cardiac CTA dose, February 3, 2009
Framingham risk doesn't predict plaque burden, January 5, 2009
Coronary CTA cuts costs for chest pain care, February 29, 2008
Radiation dose slashed in 64-slice coronary CTA, February 15, 2007
Copyright © 2009 AuntMinnie.com

























