
There has been a spike in the number of cases of children swallowing potentially lethal button batteries over the last 10 years, based on the number of visits to emergency rooms, according to a report published August 29 in Pediatrics.
An analysis of data from the U.S. Consumer Product Safety Commission's National Electronic Injury Surveillance System found an estimated 70,322 visits were made to emergency departments (ED) as a result of battery-related injuries from 2010 to 2019, more than twice the number of visits as 1990 to 2009. Button batteries were implicated in 84.7% of visits.
"Unfortunately, despite all existing injury prevention efforts, battery-related ED visits remain too frequent," wrote corresponding author Mark Chandler of Safe Kids Worldwide, a global nonprofit based in Silver Spring, MD, and colleagues.
Button batteries are small, disc-shaped cells used to power an increasing number of consumer electronic devices found in the home, including toys, digital watches, hearing aids, and remote controls. Button batteries are often easy to remove from these devices.
When the batteries get stuck in a child's throat, saliva can interact with the current and cause a chemical reaction that severely burns the esophagus in as little as two hours. Reports of injuries include esophageal perforation, vocal cord paralysis, and erosion into the airway or major blood vessels.
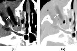
Chest x-rays with anteroposterior and lateral views are the primary method for detecting these foreign objects, with CT and MRI recommended in cases of suspected tissue damage.
The analysis by Chandler and colleagues that included pediatricians at Nationwide Children's Hospital in Columbus, OH, found that ingesting the batteries accounted for the majority (90%) of battery-related emergency room visits, followed by batteries inserted into the nose (5.7%), ears (2.5%), and mouth without swallowing (1.8%).
The total works out to an average of one battery-related emergency visit every 1.25 hours among children under 18. Children under the age of 5 were at highest risk, especially toddlers between the ages of 1 and 2, who often put things they find into their mouths, the team reported.
Moreover, button batteries were responsible for injuries in more than 87% of the visits in which the battery type could be determined, the study found.
In an accompanying commentary and review, critical care specialist Dr. Nicole McKinnon, PhD, of the University of Toronto in Ontario, Canada, noted that liquefactive necrosis in a child's esophagus can progress even after the battery is removed, leading to delayed complications.
McKinnon and colleagues identified a total of 361 cases of severe complications or death after button battery ingestion (321 cases from the National Capital Poison Center registry database and 40 additional cases from PubMed). Of these, 19% (69 of 361) were fatal and 14% (51 of 361) involved vascular injuries, the group found.
"Though data are limited, imaging with MRI currently offers the best modality to comprehensively assess the evolution of tissue injury and involvement of associated structures," the authors wrote.
Chandler and colleagues noted optimism that the tide may soon turn on these cases. On August 16, President Joe Biden signed Reese's Law, named after a child who died after ingesting a button battery. The law will require companies to use product warning labels, childproof packaging, and adhere to performance standards to ensure that children under the age of 6 cannot access button batteries.
"Regulatory efforts and adoption of safer [button battery] designs by industry to reduce or eliminate ingestion injuries in children are critically needed," the group concluded.




















