
Lead investigator Dr. Susan Hayflick, an associate professor of molecular and medical genetics from the Oregon Health and Sciences University in Portland, described the disease-specific radiographic pattern as the "eye of the tiger sign," found deep within the basal ganglia. The group hypothesized that the eye of the tiger pattern results from brain changes linked to an enzyme deficiency caused by the mutated pantothenate kinase 2 (PANK2) gene. Hayflick’s co-authors are from the same university in Portland, and from the University of California, San Francisco.
Hallervorden-Spatz syndrome is an autosomal recessive disorder (both parents must contribute a mutated gene) characterized by dystonia, parkinsonism, and iron accumulation in the brain.
In previous research, the group found that all patients with classic Hallervorden-Spatz syndrome, and one third of those with atypical disease, had PANK2 mutations (Nature Genetics, August 2001, Vol. 28:4, pp.345-349).
In the latest study, the investigators looked at clinical and imaging data from 123 subjects from 98 families. The subjects had been diagnosed with either classic disease (66 patients) or atypical disease (57 patients).
"Early-onset, rapidly progressive (classic) disease was usually evident by the age of 10 years and was manifested by dystonia, progression to severe disability by 20 years of age, and radiographic changes indicating a high iron content in the basal ganglia," the researchers wrote. "Those with atypical disease included all other patients with extrapyramidal dysfunction and radiographic evidence of iron accumulation in the basal ganglia. The atypical disease usually also had a later onset and a more slowly progressive course" (NEJM, January 2, 2003, Vol. 348:1. pp.33-40).
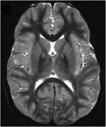
The patients underwent T2-weighted MRI. The results showed a specific pattern of hyperintensity within the hypointense medial globus pallidus. "Magnetic resonance imaging revealed the same brain disease patterns in each and every one of these patients," Hayflick said in an interview with AuntMinnie.com. "The strong correlation between specific MRI changes and the presence of a PANK2 mutation is very unusual in medicine, but there were no exceptions in this group of subjects."
![]() |
| Patient with PANK2 mutation and eye of the tiger sign on MRI. Image courtesy of Dr. Susan Hayflick. |
On the basis of this correlation, the investigators assessed the value of MRI by itself as a predictor of mutation status. They identified a subgroup of patients with Hallervorden-Spatz syndrome whose clinical and radiographic data had not been originally included in the study. They found six patients with the presence of the eye of the tiger sign and analyzed their DNA for PANK2 mutations. All six patients were found to have PANK2 mutations on both chromosomes, supporting the correlation between the presence of these mutations and the eye of the tiger sign.
"Patients with the classic form of Hallervorden-Spatz syndrome should provisionally be given the diagnosis of pantothenate kinase-associated neurodegeneration, awaiting confirmation by DNA analysis," the investigators concluded. "Patients with atypical Hallervorden-Spatz syndrome who present with speech and psychiatric disorders and whose brain MRI scans have the eye of the tiger sign should undergo analysis for PANK2 mutations."
In an accompanying editorial, Dr. Michael Shevell called the results "a prototypical example of the precision of the 'scalpel' of molecular biology in pinpointing what has previously been defined by astute clinical observation. Their report also reflects the advances of the latter part of the 20th century in our understanding of the genetic basis of disease -- advances that are nothing short of revolutionary in scope and that will be a lasting hallmark of this particular scientific epoch." Shevell is an associate professor in the departments of neurology/neurosurgery and pediatrics at McGill University School of Medicine in Montreal (NEJM, January 2, 2003, Vol. 348:1, pp.3-4).
In an interesting aside, both Shevell and the study authors advocated abandoning the term "Hallervorden-Spatz syndrome" because of the allegedly questionable activities of German neurologists Julius Hallervorden and Hugo Spatz during World War II. They suggested the terms "pantothenate kinase-associated degeneration" or "neurodegeneration with brain iron accumulation" instead.
By Bruce SylvesterAuntMinnie.com contributing writer
January 29, 2003
Related Reading
Imaging agent aids diagnosis of Parkinson’s, December 12, 2002
Parkinson's disease often misdiagnosed at initial presentation, October 17, 2002
Copyright © 2003 AuntMinnie.com



.fFmgij6Hin.png?auto=compress%2Cformat&fit=crop&h=100&q=70&w=100)





.fFmgij6Hin.png?auto=compress%2Cformat&fit=crop&h=167&q=70&w=250)











