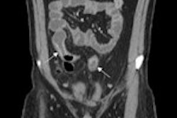
Children 9 years of age and older with Crohn's disease can tolerate MR enterography as a replacement for small bowel x-rays or CT enterography, according to a study published in the September issue of the American Journal of Roentgenology.
Researchers from the Mayo Clinic College of Medicine in Rochester, MN, found that MR enterography performs as well in children as it does in adults. MR enterography was able to accurately identify inflammation 80% of the time in the terminal ileum, 79% of the time in the right colon, and 90% of the time in the left colon. The number of patients who suffered side effects was low, with two patients experiencing nausea and one fainting, but no ongoing care was required (AJR, September 2012, Vol. 199:3, pp. W367-375).
The research is the largest North American study of its kind and included 70 pediatric patients who underwent MR enterography to review the quality of the images and determine if pediatric patients could tolerate the examination.
While MR enterography does not require any radiation, patients must drink an oral contrast agent, hold their breath at times, and limit their motion during the examination, which can be difficult for pediatric patients.
The majority of children 9 years and older could complete an MR enterography exam without sedation, study co-author Dr. William Faubion Jr. and colleagues concluded. Younger children could drink a smaller amount of contrast material without negatively affecting MR enterography image quality, they added.


.fFmgij6Hin.png?auto=compress%2Cformat&fit=crop&h=100&q=70&w=100)





.fFmgij6Hin.png?auto=compress%2Cformat&fit=crop&h=167&q=70&w=250)











