
Olympic athletes train their bodies to do things most of us will never do, and they fascinate us in their achievement of extraordinary physical prowess. But performing high-stress physical activities means encountering more opportunities for injury, particularly stress fractures, which can be devastating for an Olympic hopeful.
Lengthy recovery times can cause athletes to not only miss crucial competitions, but also to lose the prime conditioning that they have worked so hard to cultivate. And since stress fractures make up 10% of all sports overuse injuries, it’s no wonder that athletes and trainers hail any technology that offers noninvasive, rapid healing.
Ultrasound may be just what the doctor ordered. Since the 1950s, researchers have been experimenting with the use of low-intensity, pulsed ultrasound waves (30 mW/cm2) to initiate fracture healing at the cellular level (Journal of Bone and Joint Surgery, February 2001, Vol. 83-A:2, pp. 259-270).
Experts believe the waves stimulate bone tissue to regenerate by causing small, controlled stresses in the bone cells, which increases blood flow in the area and mobilizes calcium.
Clinical studies support the use of ultrasound with both fresh and delayed union fractures. Two studies published in the Journal of Bone and Joint Surgery in the 1990s demonstrate the technology’s success in reducing healing rates for fresh fractures in particular.
In 1994, researchers from the University of Texas Health Science Center in San Antonio conducted a randomized, double-blind, placebo-controlled trial of 67 tibia fractures with treatment of 30mW/cm2 for 20 minutes per day, which showed a 24% reduction in clinical healing time (Journal of Bone and Joint Surgery, January 1994, Vol.76-A:1, pp. 26-34).
In 1997, investigators at the Community Health Care Plan in New Haven, CT, conducted a multicenter, prospective, randomized, double-blind, placebo-controlled trial of 61 distal radius fractures, which showed a 38% shorter time to union (Journal of Bone and Joint Surgery, July 1997, Vol.79-A:7, pp. 961-973).
The statistics are good news for both professional and amateur athletes who depend on their bodies for their livelihood. Athletes in a range of sports have used the technology, including Toronto Maple Leafs hockey center Mats Sundin and U.S. Olympic gymnast Dominique Moceanu.
For now, only one medical device manufacturer, Smith & Nephew of Trenton, NJ, has an FDA-approved ultrasound device on the market. The Exogen 2000+ ultrasound fracture healing system is noninvasive, portable, and lightweight, and is used by patients at home for daily 20-minute sessions over the course of 30 to 60 days.
![]() |
| Exogen 2000+ ultrasound fracture healing device. Image courtesy of Smith & Nephew. |
"The loss of playing time as a result of an injury impacts professional and amateur athletes’ opportunity for success," said Scott Ludecker, business development manager for the orthopedic division of Smith & Nephew. "Low-intensity ultrasound therapy has long been a choice of team physicians from major-league sports, university athletics, and Olympics teams the world over."
Exogen 2000+ consists of a main operating unit powered by a nonreplaceable, nonrechargeable lithium battery. The MOU records the patient’s use of the device and sounds a timer when the particular session is complete. The system also includes a treatment head module with a transducer that has a life of 150 treatments, and a strap that attaches the treatment head to the patient.
The device can be used with or without a plaster or fiberglass cast (if used with a cast, a window is cut into the cast so that the unit can be placed on the skin), and is programmed for seven languages, including English, Spanish, Dutch, and Japanese.
![]() |
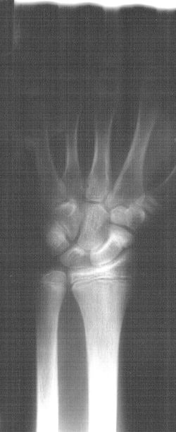
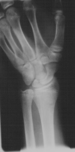
| Six weeks post-injury scaphoid fracture. |
![]() |
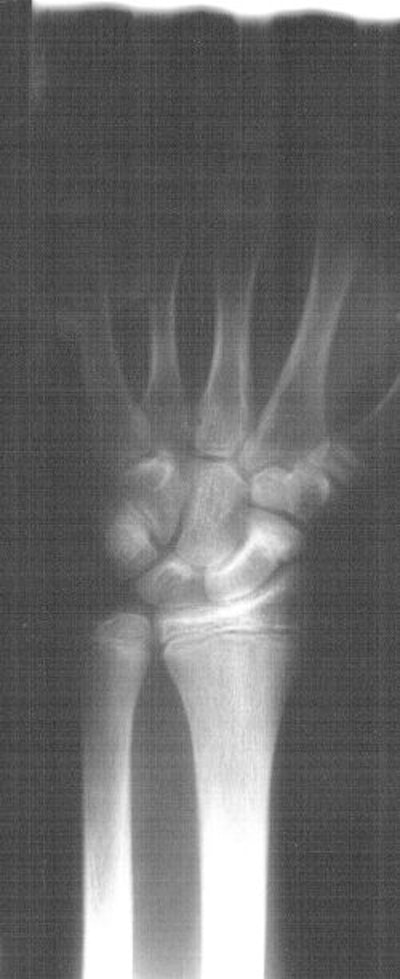
| Sixteen weeks post-injury and eight weeks post-application of Exogen device, there is evidence of healing. |
![]() |
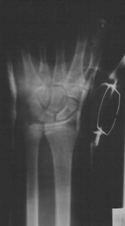
| Twenty-five weeks post-injury and complete healing of scaphoid. Clinical images courtesy of Dr. Anthony Mauriello, Jr., MidState Orthopaedics, Lancaster, PA. |
Follow-up imaging studies after ultrasound treatment helps solidify the beneficial results, say German researchers. In a prospective animal study, they deemed the results of low-intensity ultrasound treatment (1.5 MHz, 1 KHz pulse, 2 microsecond signal burst width, 30 mW/cm2) successful for stimulating regenerate maturation after callus distraction.
X-rays in the anteroposterior view were taken every two weeks during the maturation period. Anteroposterior and lateral high-resolution x-rays, as well as CT scans, were performed after the animals were sacrificed on day 84.
On the high-resolution x-rays, two different relationships were calculated: the callus relation, or the ratio of the amount of periosteal callus to the size of the space between the proximal fragment and transported segment; and the interzone relation, defined as the ratio of the fibrous callus interzone to the size of the new-formed callus. On the CT scan, callus area, bone density, and bone mineral content were evaluated.
"The results of…high-resolution radiographs and CT indicate a significantly accelerated maturation of the regenerate in the ultrasound-stimulated group," the researchers concluded (Journal of Orthopedic Trauma, August 2001, Vol.15:6, pp. 407-414).
For athletes who require faster healing than the body can accomplish on its own, ultrasound offers one option for getting back into the game. But speedy recovery does come at a price: Exogen 2000+ sells for approximately $4,100, and because the transducer cannot be sterilized, the unit is used for one treatment course only. For Olympic competitors, however, it may be a small price to pay for gold.
By Kate Madden Yee
AuntMinnie.com contributing writer
February 18, 2002
Related Reading
Ultrasound therapy covered by Medicare, August 14, 2000
Copyright © 2002 AuntMinnie.com
























